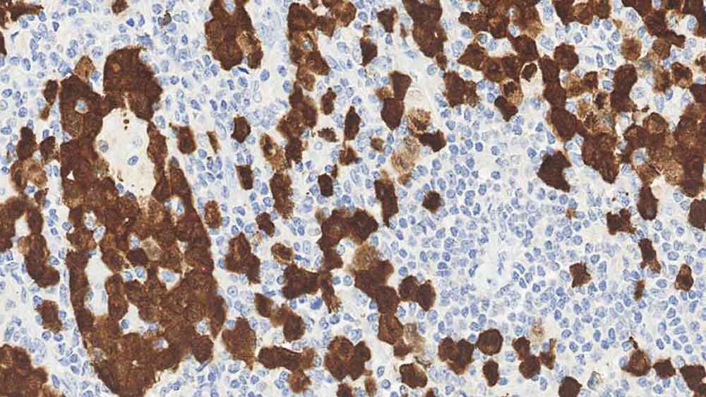
Anaplastic large cell lymphoma: immunohistochemical staining for ALK. Note the strong nuclear and cytoplasmic staining in the neoplastic cells. ALK: clone 5A4

ALK

Hintergrund des Antigens

Das anaplastisch-großzellige Lymphom (ALCL) besteht in der Regel aus großen pleomorphen Zellen, von denen man weiß, dass sie CD30-Antigen und epitheliales Membranantigen (EMA) exprimieren.

Diese Tumorzellen kommen meist bei jüngeren Patienten vor und können mit einer Haut- und extranodalen Beteiligung einhergehen. Diese Fälle enthalten zum Teil eine chromosomale Translokation t(2:5) (p23:q35).

Dies führt zu einem Hybridgen codierenden Abschnitt des Nucleophosmingens (NPM), das an die zytoplasmatische Domäne des anaplastischen Lymphomkinasegens (ALK) gebunden ist, wodurch das Protein p80 entsteht.

Großzellige Lymphome machen etwa 25 % aller Nicht-Hodgkin-Lymphome bei Kindern und jungen Erwachsenen aus, von denen ein Drittel die NPM-ALK-Gentranslokation trägt.

Produkte

Produkte

ALK-L-CE-H
0.5ml NCL-L-ALK
Verfügbarkeit überprüfen
PA0831
7 mL ALK (5A4) BOND RTU Primary
Verfügbarkeit überprüfen
ALK-L-H-U
0.5ml NCL-L-ALK
Verfügbarkeit überprüfen
PA0831-U
7 mL ALK (5A4) BOND RTU Primary
Verfügbarkeit überprüfen

Downloads

Downloads

ALK-L-CE-H

PA0831

ALK-L-H-U

PA0831-U

Zuletzt angesehen