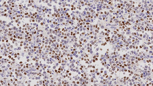
Human mantle cell lymphoma: nuclear staining of the malignant post-germinal B lymphocytes. Cyclin D1: clone EP12

Cyclin D1

Hintergrund des Antigens

Bei den D-Cyclinen handelt es sich um eine Familie von Proteinen, deren primäre Funktion in der Regulierung der Aktivität der Cyclin-abhängigen Kinasen in der G1-Phase des Zellzyklus beruht. Cyclin D1, ein Protein von 36 kD, ist auch als PRAD1 oder bcl-1 bekannt. Das Maximum der Expression von Cyclin D1 findet zu einem kritischen Zeitpunkt in der mittleren bis späten G1-Phase des Zellzyklus statt.

Das Cyclin D1-Gen, das sich auf 11q13 befindet, wird bei Mantelzell-Lymphomen aufgrund der chromosomalen Translokation t(11;18) überexprimiert. Außerdem wurde es bei ungefähr 30 Prozent aller Mammakarzinome beobachtet.

Produkte

Produkte

CYCLIND1-GM-L
1ml NCL-L-CYCLIND1-GM
Verfügbarkeit überprüfen
CYCLIND1-GM-L-CE
1ml NCL-L-CYCLIND1-GM
Verfügbarkeit überprüfen
PA0046
7ml Cyclin D1 (EP12) Bond RTU Primary
Verfügbarkeit überprüfen
CYCLIND1-GM-L-U
1ml NCL-L-CYCLIND1-GM
Verfügbarkeit überprüfen
PA0046-U
7ml Cyclin D1 (EP12) Bond RTU Primary
Verfügbarkeit überprüfen

Downloads

Downloads

CYCLIND1-GM-L

CYCLIND1-GM-L-CE

PA0046

CYCLIND1-GM-L-U

PA0046-U

Zuletzt angesehen