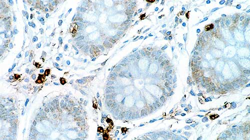
Human colon: immunohistochemical staining for Interleukin 6. Note cytoplasmic staining of a proportion of lymphoid cells. Interleukin 6: clone 10C12

Interleukin 6

IL-6 ist ein multifunktionales Zytokin, das von sowohl lymphatischen als auch nicht-lymphatischen Zellen sekretiert wird. Es spielt eine zentrale Rolle bei Immunreaktionen, der Hämatopoese und ist ein wichtiges Zytokin bei Zellproliferation und -differenzierung.

Es kann gleichfalls als autokriner Wachstumsfaktor bei metastatischem Prostatakrebs eine wichtige Rolle spielen. Es wurde berichtet, dass IL-6 bei der Sekretion bzw. Freisetzung der Hypophysenhormone in den sekretierenden Hypophysenhormonzellen und Adenomen eine Rolle spielt.

Darüber hinaus wird vermutet, dass IL-6 einen trophischen Effekt in den Nervenzellen hat und eine direkte pathogenetische Rolle bei ZNS-Erkrankungen spielt. Es wird zunehmend berichtet, dass die Zytokine der IL-6-Familie bei der Regulierung der Herzphysiologie eine wichtige Rolle spielen.

Produkte

Produkte

IL6-L
1ml NCL-L-IL6
Verfügbarkeit überprüfen

Downloads

Downloads

IL6-L

Zuletzt angesehen