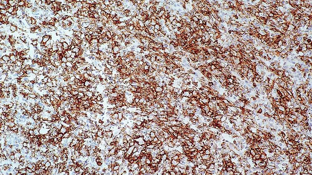
Diffuse large B cell lymphoma: immunohistochemical staining for CD43. Note the intense staining of malignant CD43: clone MT1

CD43

Hintergrund des Antigens

Das CD43-Antigen wird auf der Membran und im Zytoplasma von T-Zellen und Zellen myeloiden Ursprungs exprimiert. Das Molekül selbst zeichnet sich durch eine Heterogenität des Molekulargewichts aus, wobei die SDS-PAGE-Analyse bei unterschiedlichen Zelllinien Banden von 90 bis 140 kD ergab. Das CD43-Antigen wird von normalen und neoplastischen T-Zellen exprimiert. Auch für einen kleinen Teil der chronischen Leukämien vom B-Zell-Typ und der Zentrozyten-Lymphome ist eine Expression des CD43-Antigens beschrieben.

In manchen Fällen kann eine Enzymvorbehandlung das Färbeergebnis mit Klon MT1 verbessern.

Produkte

Produkte

PA0938-U
7ml CD43 Bond RTU Primary
Verfügbarkeit überprüfen
MT1-L
1ml NCL-L-MT1
Verfügbarkeit überprüfen
MT1-L-U
1ml NCL-L-MT1
Verfügbarkeit überprüfen
PA0938
7ml CD43 Bond RTU Primary
Verfügbarkeit überprüfen

Downloads

Downloads

PA0938-U

MT1-L

MT1-L-U

PA0938

Zuletzt angesehen