In Ihrem Browser sind Cookies offenbar deaktiviert.
Zur Anmeldung bei dieser Webseite werden Cookies benötigt.
Bitte aktivieren Sie Cookies in Ihrem Browser und laden Sie dann diese Seite erneut.
Mein Konto
Neue Benutzer
Wenn Sie ein Konto anlegen, profitieren Sie von zahlreichen Vorteilen!
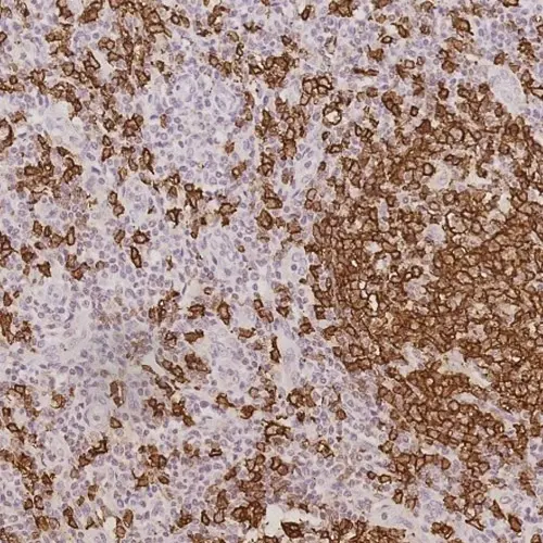
Hintergrund des Antigens
Das CD20-Antigen ist ein nicht-glykosyliertes Phosphoprotein von etwa 33 kD, das auf normalen und malignen humanen B-Zellen exprimiert wird und von dem man annimmt, dass es als Rezeptor während der B-Zell-Aktivierung und -Differenzierung fungiert.
Die Expression des CD20-Antigens wurde auf normalen B-Zellen aus dem peripheren Blut, in Lymphknoten, Milz, Tonsillen, Knochenmark, bei akuten Leukämien und chronischen lymphatischen Leukämien nachgewiesen.
Algeria
Andorra
Angola
Argentina
Armenia
Australia
Austria
Bahrain
Belarus
Belgium
Bosnia And Herzegowina
Botswana
Brazil
Brunei Darussalam
Bulgaria
Chile
Colombia
Congo, The Democratic Republic Of The
Cote D'Ivoire
Cyprus
Czech Republic
Denmark
Ecuador
Estonia
Ethiopia
Finland
France
French Guiana
Georgia
Germany
Ghana
Greece
Guadeloupe
Guyana
Holy See (Vatican City State)
Hong Kong
Hungary
Iceland
Indonesia
Iraq
Ireland
Israel
Italy
Japan
Jordan
Kazakhstan
Kenya
Kuwait
Latvia
Lebanon
Libyan Arab Jamahiriya
Liechtenstein
Luxembourg
Malawi
Malaysia
Mali
Malta
Martinique
Mauritania
Mauritius
Mayotte
Mexico
Myanmar
Namibia
Netherlands
New Caledonia
New Zealand
Nicaragua
Nigeria
Norway
Occupied Palestinian Territory
Oman
Pakistan
Paraguay
Peru
Philippines
Poland
Portugal
Puerto Rico
Qatar
Reunion
Romania
Russian Federation
Rwanda
Saudi Arabia
Senegal
Serbia
Singapore
Slovakia (Slovak Republic)
Slovenia
South Africa
South Korea
Spain
Sudan
Sweden
Switzerland
Taiwan
Tanzania, United Republic Of
Thailand
Togo
Trinidad And Tobago
Tunisia
Turkey
Uganda
Ukraine
United Arab Emirates
United Kingdom
Uzbekistan
Vietnam
Zambia
Zimbabwe
Algeria
Andorra
Angola
Argentina
Armenia
Austria
Bahrain
Belarus
Belgium
Benin
Bosnia And Herzegowina
Botswana
Brazil
Brunei Darussalam
Bulgaria
Chile
Colombia
Congo, The Democratic Republic Of The
Costa Rica
Cote D'Ivoire
Cyprus
Czech Republic
Denmark
Ecuador
El Salvador
Estonia
Ethiopia
Finland
France
French Guiana
Georgia
Germany
Greece
Guadeloupe
Guyana
Holy See (Vatican City State)
Hong Kong
Hungary
Iceland
Indonesia
Iraq
Ireland
Israel
Italy
Japan
Jordan
Kazakhstan
Kenya
Kuwait
Latvia
Lebanon
Libyan Arab Jamahiriya
Liechtenstein
Lithuania
Luxembourg
Malawi
Malaysia
Malta
Martinique
Mauritania
Mauritius
Mexico
Moldova, Republic Of
Morocco
Myanmar
Namibia
Nepal
Netherlands
New Caledonia
Nigeria
Norway
Occupied Palestinian Territory
Oman
Pakistan
Paraguay
Peru
Philippines
Poland
Portugal
Puerto Rico
Qatar
Reunion
Romania
Russian Federation
Rwanda
Saudi Arabia
Senegal
Serbia
Singapore
Slovakia (Slovak Republic)
Slovenia
South Africa
South Korea
Spain
Sudan
Sweden
Switzerland
Taiwan
Tanzania, United Republic Of
Thailand
Togo
Trinidad And Tobago
Tunisia
Turkey
Uganda
Ukraine
United Arab Emirates
United Kingdom
Uruguay
Uzbekistan
Vietnam
Zambia
Zimbabwe
Algeria
Andorra
Angola
Armenia
Austria
Bahrain
Belarus
Belgium
Bosnia And Herzegowina
Botswana
Brazil
Brunei Darussalam
Bulgaria
Chile
China
Colombia
Congo, The Democratic Republic Of The
Costa Rica
Cote D'Ivoire
Cyprus
Czech Republic
Denmark
Ecuador
Estonia
Finland
France
French Guiana
Georgia
Germany
Greece
Guadeloupe
Guyana
Holy See (Vatican City State)
Hong Kong
Hungary
Iceland
Indonesia
Iraq
Ireland
Israel
Italy
Japan
Jordan
Kazakhstan
Kenya
Kuwait
Latvia
Lebanon
Libyan Arab Jamahiriya
Liechtenstein
Luxembourg
Malawi
Malta
Martinique
Mauritania
Mauritius
Mexico
Moldova, Republic Of
Morocco
Namibia
Netherlands
New Caledonia
Nigeria
Norway
Occupied Palestinian Territory
Oman
Pakistan
Paraguay
Peru
Philippines
Poland
Portugal
Puerto Rico
Qatar
Reunion
Romania
Russian Federation
Rwanda
Saudi Arabia
Senegal
Serbia
Slovakia (Slovak Republic)
Slovenia
South Africa
Spain
Sudan
Sweden
Switzerland
Tanzania, United Republic Of
Thailand
Togo
Trinidad And Tobago
Tunisia
Turkey
Uganda
Ukraine
United Arab Emirates
United Kingdom
Uzbekistan
Zambia
Zimbabwe
Benin
China
Ethiopia
Hong Kong
India
New Zealand
Nigeria
Singapore
Taiwan
Canada
Guyana
Puerto Rico
Trinidad And Tobago
United States
Australia
Canada
New Zealand
Puerto Rico
Trinidad And Tobago
United States
Australia
Canada
New Zealand
Puerto Rico
Trinidad And Tobago
United States
Wurde dem Einkaufswagen hinzugefügt
dem Wagen hinzugefügt.
No item added to cart
The replacement product is no longer available, no item has been added to cart.
If you have any questions, contact us at 1.844.534.2262


