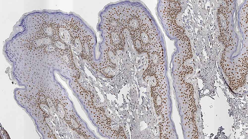
Human skin: immunohistochemical staining for Androgen Receptor. Note the nuclear staining of the epithelial cells. Androgen Receptor: clone AR27

Androgen Receptor

Der Androgenrezeptor ist ein Mitglied der Superfamilie der ligandenresponsiven Transkriptionsregulatoren. Der Androgenrezeptor arbeitet im Kern und es wird davon ausgegangen, dass er dort als Transkriptionsregulator wirkt, der die Aktion der männlichen Sexualhormone (Androgene) vermittelt.

Der Androgenrezeptor ist breit verteilt und kann durch Immunhistochemie in verschiedenen Geweben wie z. B. Prostata, Haut und Mundschleimhaut nachgewiesen werden.

Der Androgenrezeptor wurde in einer Vielzahl von menschlichen Tumoren, z. B. im Osteosarkom, nachgewiesen und die Expression des Androgenrezeptors in Prostatakarzinomen ist möglicherweise klinisch relevant. Darüber hinaus wurde eine Mutation des gencodierenden Androgenrezeptors in Prostatakarzinomen beobachtet.

Produkte

Produkte

AR-318-L-CE
1ml NCL-L-AR-318

Downloads

Downloads

AR-318-L-CE

Zuletzt angesehen