Human fetal liver: immunohistochemical staining for Alpha Fetoprotein. Note cytoplasmic of hepatocytes. Alpha Fetoprotein: clone C3

Alpha Fetoprotein

Hintergrund des Antigens

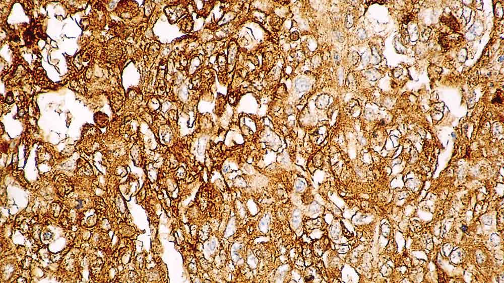
Das Alpha-Fetoprotein (AFP) ist ein onkofetales 70-kD-Antigen in Körperflüssigkeiten, das in hohen Konzentrationen klinische Implikationen aufweist.
Das AFP wird in der fetalen Leber exprimiert, ist unter normalen Umständen in gesundem adulten Gewebe jedoch nicht vorhanden. Es wird zum Teil von Keimzelltumoren und häufig bei Dottersacktumoren exprimiert.

Produkte

Produkte

AFP-L-CE
1ml NCL-L-AFP
PA0963
7ml AFP Bond RTU Primary

Downloads

Downloads

AFP-L-CE

PA0963

Zuletzt angesehen