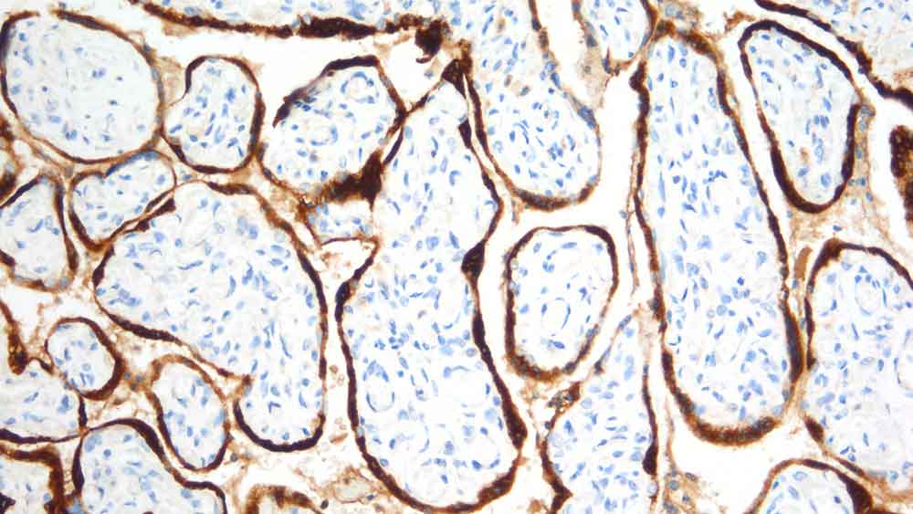
Human placenta: immunohistochemical staining with Human Chorionic Gonadotrophin (beta): Polyclonal

Human Chorionic Gonadotrophin (beta)

Hintergrund des Antigens

Das humane Choriongonadotropin (hCG) ist ein Glykoprotein-Hormon, das die trophoblastischen Zellen der Plazenta ab dem 10. bis 12. Tag nach der Empfängnis produzieren. Zum Schutz des Fötus im ersten Schwangerschaftstrimester muss hCG erzeugt werden, das sich an den Gelbkörper in den Ovarien bindet. Dieser wird dazu stimuliert, Progesteron zu bilden um das sekretorische Endometrium zu schützen.

hCG besteht aus den beiden Untereinheiten alpha und beta. Die alpha-Untereinheit von hCG ist mit der Untereinheit des luteinisierenden Hormons, des Thyreoidea stimulierenden Hormons und des Follikel stimulierenden Hormons identisch. Die Molekulargewichte der gemeinsamen alpha-Kette und der hormonspezifischen beta-Ketten liegen bei 14 kD bzw. 17 kD.

Die hCG beta-Untereinheit ist in der Familie der beta-haltigen Glykoproteinhormone insofern einzigartig, als sie an ihrem COOH-Ende eine Extension von 29 Aminosäuren aufweist. Es wird angenommen, dass die C-terminale Region der HCG-beta-Untereinheit wichtig für das intrazelluläre Verhalten des Heterodimers ist. NCL-HCGp wurde für die isolierte beta-Kette des humanen Choriongonadotropins entwickelt und reagiert mit Trophoblasten der Plazenta. NCL-HCGp zeigt eine leichte Kreuzreaktion mit dem luteinisierenden Hormon und kann daher basophile Zellen in der Hypophyse anfärben.

Produkte

Produkte

PA0014
7ml HCG Bond RTU Primary

Downloads

Downloads

PA0014

Zuletzt angesehen