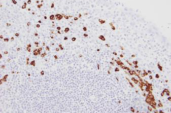
Human tonsil: in situ hybridization for kappa mRNA using Kappa Probe, Anti-Fluorescein Antibody and BOND Polymer Refine Detection.
Human tonsil: in situ hybridization for kappa mRNA using Kappa Probe, Anti-Fluorescein Antibody and BOND Polymer Refine Detection.
BOND Kappa Probe
Kappa Probe is used for the qualitative identification of Kappa light chain messenger RNA (mRNA) in formalin-fixed, paraffin-embedded tissue by in situ hybridization (ISH) using the automated BOND system.
There are five classes of immunoglobulin, determined by the type of heavy chain. In contrast, there are only two types of light chain: Kappa or Lambda. Each individual immunogloblin molecule is composed of one of five classes of heavy chains and either Kappa or Lambda light chains. In normal human lymphoid populations, the ratio of Kappa to Lambda light chains is approximately 2:1.
Kappa Probe is used in conjunction with Lambda Probe for the detection of antibody producing B-cells in formalin-fixed, paraffin embedded tissue.