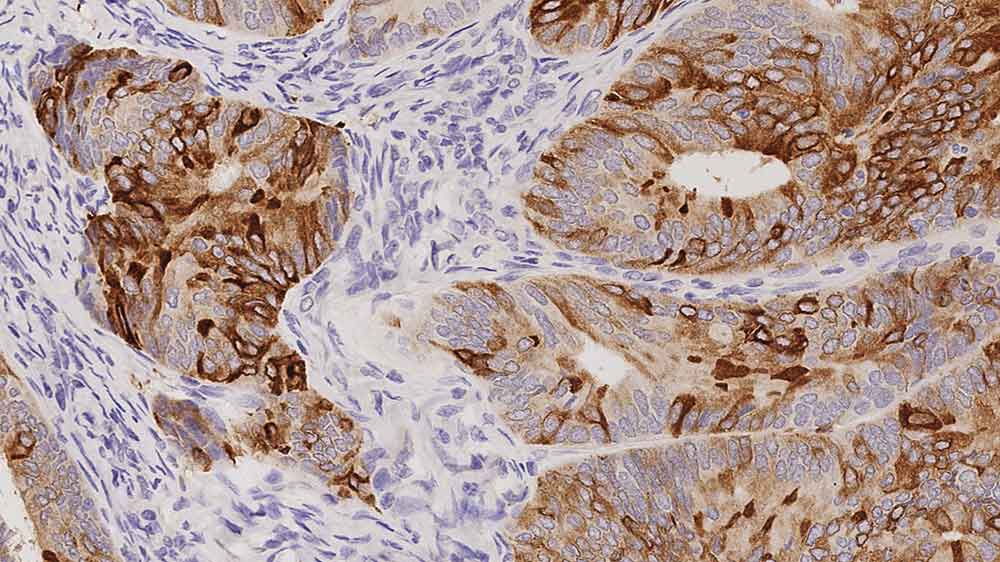
Human ductal carcinoma of breast: immunohistochemical staining for Mammaglobin protein. Note cytoplasmic staining of a proportion of malignant cells. Mammaglobin: clone EP249

乳腺珠蛋白

CD103,也称为αE整联蛋白和人粘膜淋巴细胞抗原1,是在上皮内T细胞和一些外周调节性T细胞上表达的整联蛋白。CD103在癌症中的肿瘤浸润性FOXP3阳性调节性T细胞中以高水平表达,并且CD103阳性T细胞与高级别浆液性卵巢癌中的患者存活率高度相关。已经提出CD103表达作为上皮内肿瘤特异性浸润淋巴细胞的确定标记。此外,还在一小部分乳腺癌中鉴定出CD103阳性细胞。

产品

产品

PA0378-U
7ml Mammaglobin (EP249) Bond RTU Primary
查看可用性
PA0378
7ml Mammaglobin (EP249) Bond RTU Primary
查看可用性

下载

下载

PA0378-U

PA0378

Recently Viewed