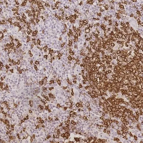
Follicular B cell lymphoma. immunohistochemistry staining for CD20. Note the strong membranous staining. CD20: Clone L26

CD20

Antigen Background
The CD20 antigen is a non-glycosylated phosphoprotein of approximately 33 kD which is expressed on normal and malignant human B cells and is thought to act as a receptor during B cell activation and differentiation. CD20 antigen has been reported to be expressed on normal B cells from peripheral blood, lymph node, spleen, tonsil, bone marrow, acute leukemias, and chronic lymphocytic leukemias.

Disclaimer
CD20 is recommended for the detection of specific antigens of interest in normal and neoplastic tissues, as an adjunct to conventional histopathology using non-immunologic histochemical stains.

产品

产品

CD20-L26-L-CE
1ml NCL-L-CD20-L26
PA0200
7ml CD20 (L26) Bond RTU Primary
PA0906
7ml CD20 Bond RTU Primary
or REQUEST a bulk quote.

下载

下载

CD20-L26-L-CE

PA0200

PA0906

Recently Viewed