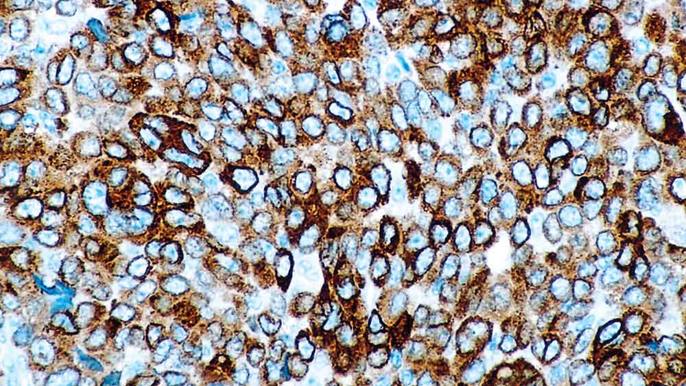
Human tonsil: immunohistochemical staining for CD10. Note membrane staining of germinal centre B cells. CD10: clone 56C6

CD10

Antigen Background

CD10 antigen, also called neprilysin, is a 100 kD cell surface metalloendopeptidase which inactivates a variety of biologically active peptides. It was initially identified as the common acute lymphoblastic leukemia antigen (CALLA) and was thought to be tumor-specific. Subsequent studies, however, have shown that CD10 antigen is expressed on the surface of a wide variety of normal and neoplastic cells. In other lymphoid malignancies, CD10 antigen is reported to be expressed on cells of lymphoblastic, Burkitt's and follicular lymphomas. CD10 antigen has been identified on the surface of normal early lymphoid progenitor cells, immature B cells within adult bone marrow and germinal center B cells within lymphoid tissue. It is also expressed in various non-lymphoid cells and tissues, such as breast myoepithelial cells, bile canaliculi, fibroblasts, with especially high expression on the brush border of kidney and gut epithelial cells. (G. McIntosh et al. American Journal of Pathology. 154(1): 77-82 (1999)).

Disclaimer

CD10 is recommended for the detection of specific antigens of interest in normal and neoplastic tissues, as an adjunct to conventional histopathology using non-immunologic histochemical stains.

产品

产品

CD10-270-L-CE
1ml NCL-L-CD10-270
PA0270
7ml CD10 Bond RTU Primary

下载

下载

CD10-270-L-CE

PA0270

Recently Viewed