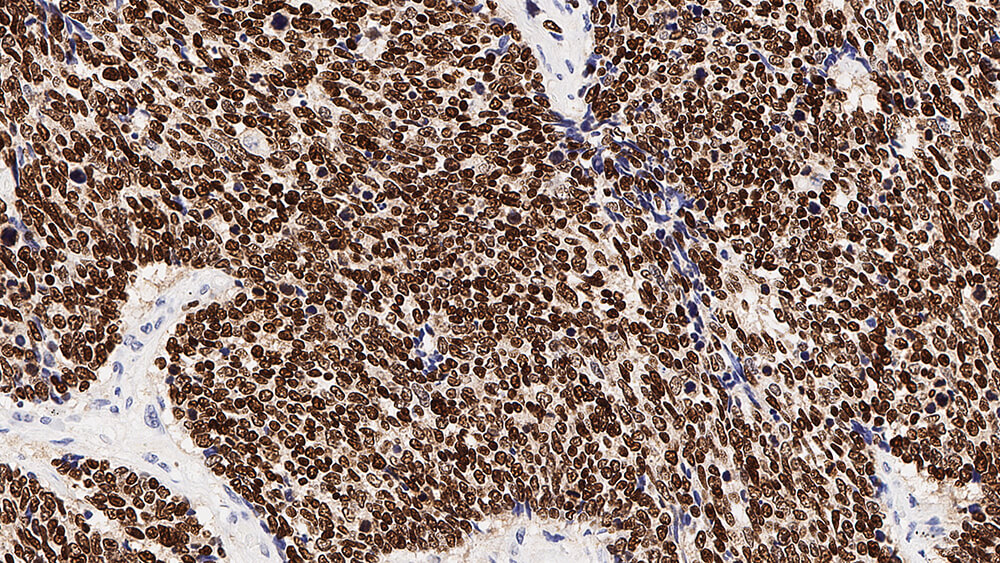
Human thyroid: immunohistochemical staining for Thyroid Transcription Factor-1. Note nuclear staining of thyroid epithelial cells. Thyroid Transcription Factor-1: clone SPT24

甲状腺转录因子-1

甲状腺转录因子-1(TTF-1)是同源域转录因子家族的成员,并且在调节甲状腺,肺和脑内表达的基因中起作用。 它们包括甲状腺球蛋白,甲状腺过氧化物酶,克拉拉细胞分泌蛋白和表面活性蛋白。人源TTF-1(38kD)是371个氨基酸的单体多肽,与大鼠和小鼠蛋白具有98%的同源性。 TTF-1可能以受蛋白质的氧化还原和磷酸化状态调节的方式与特异性识别位点结合而起作用。 除了其在成体器官中作为组织特异性转录激活因子的作用外,TTF-1还可以在器官发生中起作用。 基因靶向研究表明,TTF-1对于甲状腺和肺的正常发育至关重要,异常表达可能与许多先天性异常相关联。

产品

产品

TTF-1-L-CE
1ml NCL-L-TTF-1
PA0364
7ml TTF-1 Bond RTU Primary
PA0364-CN
7mL TTF-1 (SPT24) BOND RTU (China)

下载

下载

TTF-1-L-CE

PA0364

PA0364-CN

Recently Viewed