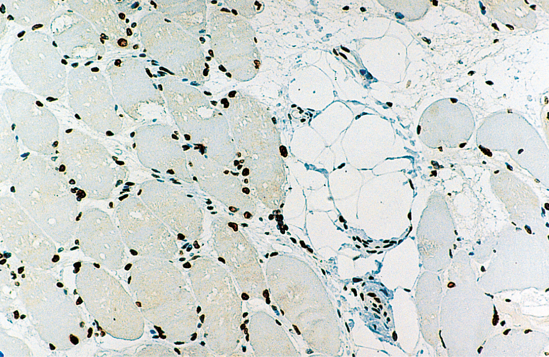
Human skeletal muscle: immunohistochemical staining for Emerin. Note perinuclear staining of all cell nuclei. Emerin: clone 4G5

Emerin

埃默里-德雷法斯肌营养不良症(EDMD)是一种起病较晚、x连锁、隐性的疾病,其特征是收缩缓慢、骨骼肌萎缩和心肌病通常表现为心传导阻滞。在病程早期,肘部、跟腱和颈椎后肌出现挛缩,并伴有肱骨-腓骨分布。STA基因位于Xq28位点,编码一种富含丝氨酸的34kD蛋白emerin,这种蛋白在组织中普遍存在,在骨骼肌和心肌中浓度最高。Emerin定位于正常肌细胞的核膜,其缺失在EDMD的病理过程中起着至关重要的作用。

产品

产品

EMERIN-CE
1ml NCL-EMERIN

下载

下载

EMERIN-CE

Recently Viewed