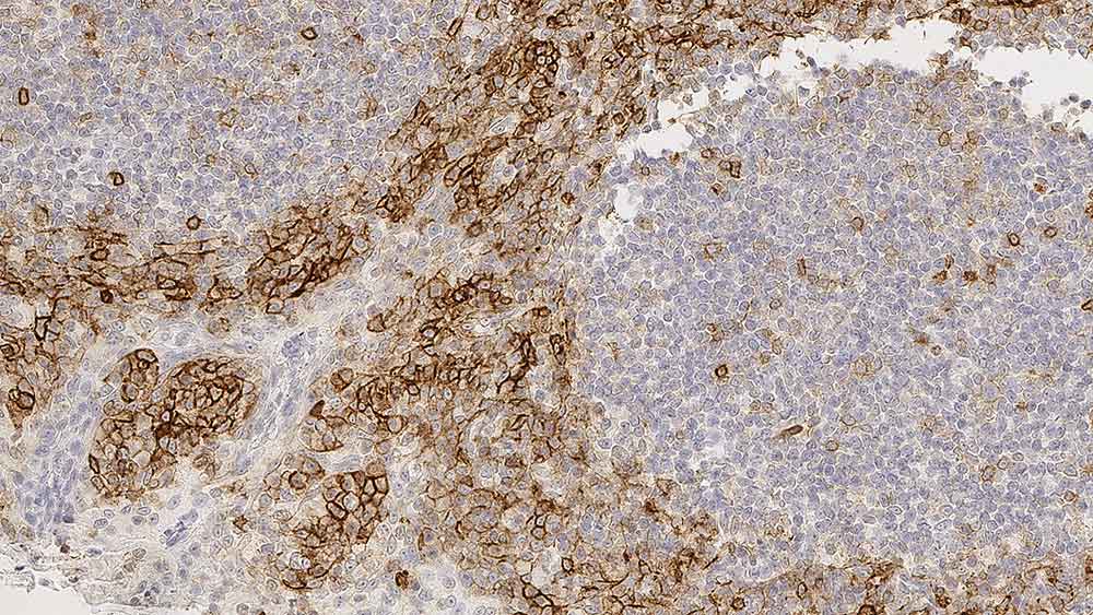
Human tonsil: immunohistochemical staining for CD99. Note membrane staining of vessel endothelium and a subpopulation of lymphocytes. CD99: clone PCB1

CD99

CD99是由MIC2基因编码的32 kDa跨膜糖蛋白,位于人类X染色体和Y染色体的伪常染色体区。最近,MIC2基因被证明可以编码两种不同的蛋白,这两种蛋白由CD99基因转录本的选择性剪接产生,被鉴定为30和32 kDa条带(p30/32)。虽然CD99的功能尚未完全了解,但它参与了T细胞的同型聚集、T细胞受体和MHS分子的上调、未成熟胸腺细胞的凋亡和白细胞的分化等多种细胞过程。CD99被报道在大多数人类组织中表达,包括皮质胸腺细胞、胰岛细胞、间质细胞和支持细胞,几乎所有造血细胞类型(粒细胞除外)、外周血淋巴细胞、卵巢颗粒细胞、内皮细胞和基底/抛物面鳞状上皮细胞。CD99在包括尤文氏肉瘤和T细胞淋巴瘤在内的多种肿瘤中均有表达。

产品

产品

CD99-187-L-CE
1ml NCL-L-CD99-187

下载

下载

CD99-187-L-CE

Recently Viewed