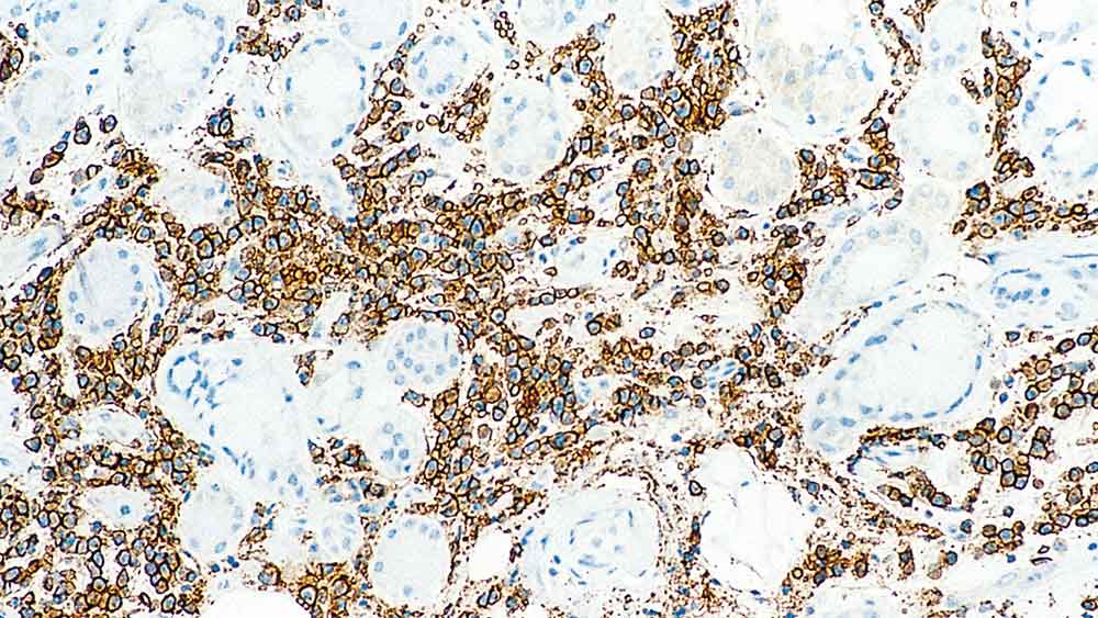
Chronically inflamed human bronchus: immunohistochemical staining CD38. Note intense membrane staining of infiltrating activated T lymphocytes. CD38: clone SPC32

CD38

它是具有ADP-核糖基环化酶,环状ADP-核糖水解酶,NAD糖水解酶活性的胞外酶,并参与cADPR的形成和水解,cADPR是调节细胞内Ca离子动员的第二信使。CD38分子是II型单跨膜糖蛋白,分子量为46kD。尽管CD38分子最初被鉴定为T淋巴细胞分化抗原,但据报道其在多种细胞和组织中表达。CD38抗原可以向淋巴和骨髓细胞传递有效的生长和分化信号。它在B和T细胞谱系的未成熟细胞上发现,但在大多数成熟的静息外周淋巴细胞上未发现。它还存在于骨髓和脑细胞中的胸腺细胞,前B细胞,生发中心B细胞,丝裂原活化T细胞,分泌Ig的浆细胞,单核细胞,NK细胞,红细胞和骨髓祖细胞中。CD38抗原也在神经原纤维缠结中被报道,这是阿尔茨海默病的病理指标,发生在神经核周围和近端树突。

产品

产品

CD38-290-L-CE
1ml NCL-L-CD38-290

下载

下载

CD38-290-L-CE

Recently Viewed