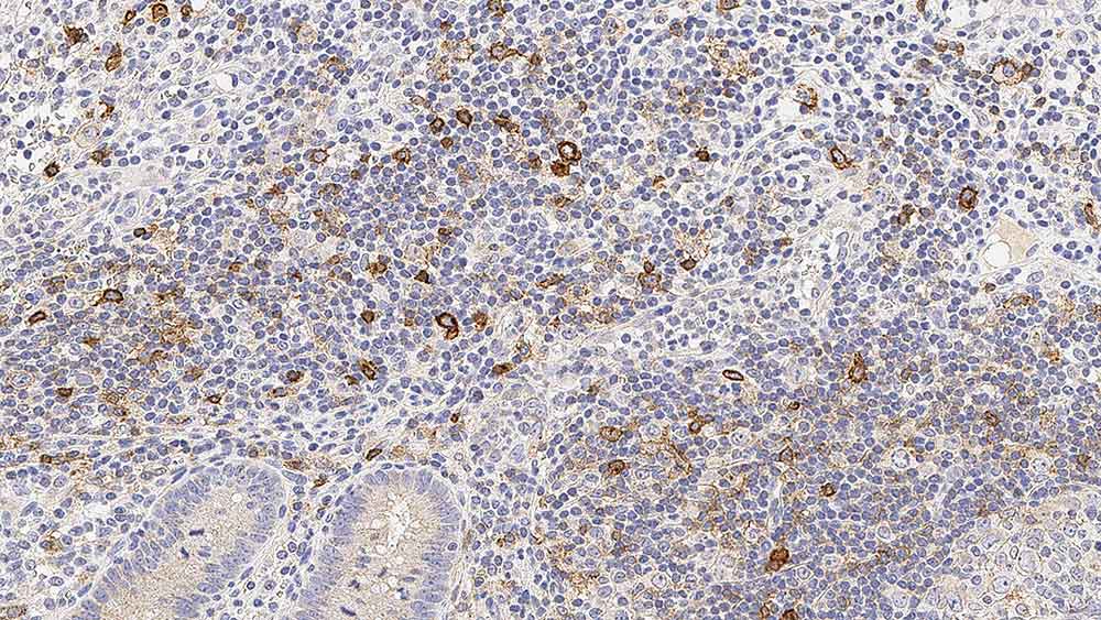
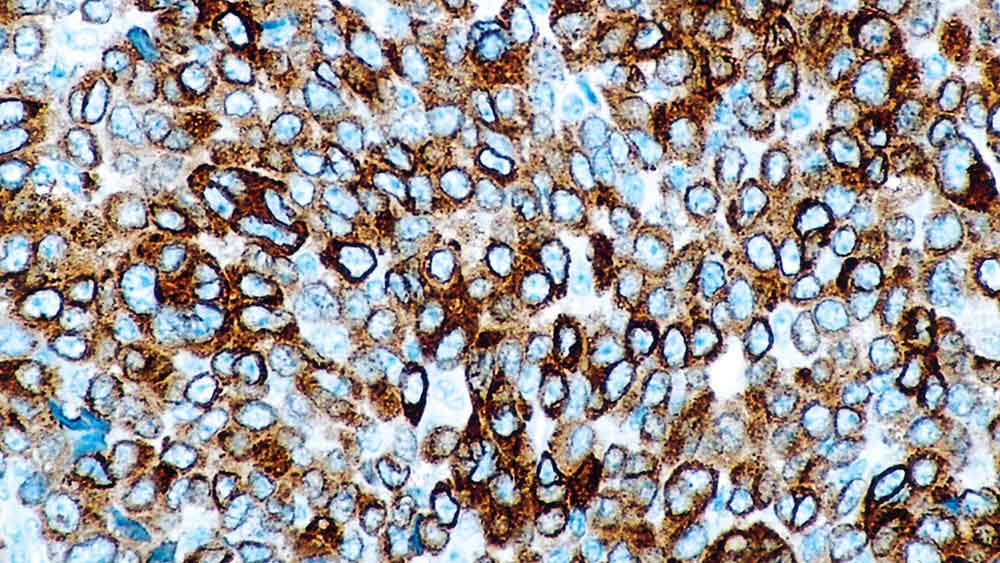
Human appendix: immunohistochemical staining for CD25. Note staining of activated lymphocytes. CD25: clone 4C9

CD25

CD25抗原是白细胞介素-2受体的α亚基,是一种分子量为55kD的单链糖蛋白。在T细胞活化后,白细胞介素-2(IL-2)迅速合成并分泌。对此,T细胞亚群表达高亲和力的IL-2受体。这些细胞增殖,扩展了T细胞群,能够调节辅助、抑制和细胞毒性功能。白细胞介素-2受体不仅存在于T细胞上,而且据报道在HTLV转化的T细胞和B细胞、EBV转化的B细胞、髓样前体和少突胶质细胞上表达。在胸腺细胞、静息T细胞、非活化B细胞和空细胞中不存在。据报道,IL-2受体的表达与炎症和恶性疾病、淋巴肿瘤、自身免疫疾病和同种异体移植排斥反应有关。

产品

产品

PA0305-CN
7mL CD25 BOND RTU (China)

下载

下载

PA0305-CN

SDS

Recently Viewed