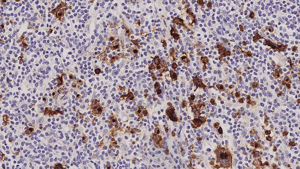
Hodgkin's disease, mixed cellularity: immunohistochemical staining for CD15. Note the mixed cellular membrane staining and characteristic staining of paranuclear hofs of Reed Sternberg cells. CD15: clone MMA

CD15

据报道CD15抗原,也称为X-半抗原,在90%的循环人粒细胞上表达,30%至60%的循环单核细胞表达,并且在正常淋巴细胞中不存在。CD15抗原也在霍奇金病和一些白血病的Reed Sternberg细胞上表达。

产品

产品

PA0473-CN
7ml CD15 (MMA) Bond RTU Primary (China)

下载

下载

PA0473-CN

SDS

Recently Viewed