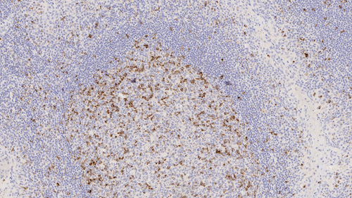
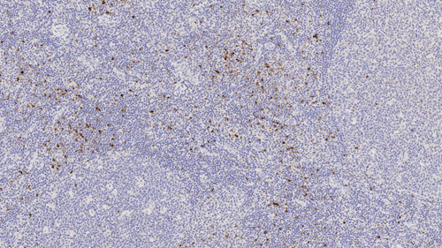
Human lymph node, T cell lymphoma: immunohistochemical staining for CD8. Note the neoplastic cells show a moderate to strong, distinct membrane staining reaction. CD8: clone 4B11

CD8

Antigen Background
The CD8 molecule is composed of two chains and has a molecular weight of 32 kD. It is found on a T cell subset of normal cytotoxic/suppressor cells which make up approximately 20-35% of human peripheral blood lymphocytes.The CD8 antigen is reported to be detected on natural killer cells, 80% of thymocytes, on a subpopulation of 30% of peripheral blood null cells and 15-30% of bone marrow cells.

Disclaimer
CD8 is recommended for the detection of specific antigens of interest in normal and neoplastic tissues, as an adjunct to conventional histopathology using non-immunologic histochemical stains.

LOG IN to check your price,
or REQUEST a bulk quote.
Please be advised we have recently updated our product codes for many Advanced Staining Reagents. We ask that you please update your records at this time.

Please see here for more information

Products

Products

CD8-4B11-L-U
CD8, Liquid Concentrate (1ml)
Limited Stock (More Details)
Ships via Overnight
LOG IN to check your price,
or REQUEST a bulk quote.
PA0183-U
7ml CD8 Bond RTU Primary
Limited Stock (More Details)
Ships via Overnight
LOG IN to check your price,
or REQUEST a bulk quote.

Downloads

Downloads

CD8-4B11-L-U

PA0183-U

You may also like

Recently Viewed