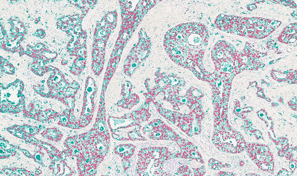
ChromoPlex II Dual Detection Kit

BOND ChomoPlex II Dual Dection is a 2-plex detection system for use in both immunohistochemistry and chromogenic in situ hybridization. The detection kit is compatible with mouse and rabbit primary antibody including a range of BOND ready-to-use primary antibodies or antibody concentrates diluted with BOND Primary Antibody Diluent (AR9352).

- Stable green and red chromogens in one detection kit.
- Colocalisation of two highly expressing antigens may produce a third colour
- Flexible use of mouse or rabbit primary antibodies in any combination.
- Maximize the data attainable from single tissue sample.

BOND ChromoPlex II Dual Detection is biotin-free and contains a peroxide block, post primary, two polymer reagents, green and red chromogen, a Dual Detection Ellusion Buffer and hematoxylin counterstain. It is supplied ready-to-use for the automated BOND-III and BOND-Max system.

LOG IN to check your price,
or REQUEST a bulk quote.

Products

Products

DS9494
BOND Chromoplex II Dual Detection
Limited Stock (More Details)
Ships via Overnight
LOG IN to check your price,
or REQUEST a bulk quote.

Downloads

Downloads

DS9494

Recently Viewed