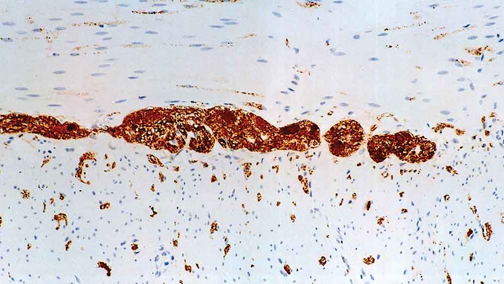
Human colon: immunohistochemical staining of Protein Gene Product 9.5. Note the staining in the neuronal elements and the ganglia of the longitudinal and circular smooth muscle. Protein Gene Product 9.5: clone 10A1

Produto de gene de proteína 9.5

Informações do antígeno

Produto de gene de proteína (PGP) 9.5 é uma proteína específica do neurônio, distinta estruturalmente e imunologicamente da enolase específica do neurônio. A proteína que tem um peso molecular de 27 kD foi primeiramente identificada por PAGE bidimensional de alta resolução.

A expressão PGP9.5 foi relatada em neurônios e fibras nervosas em todos os níveis do sistema nervoso central e periférico, em várias células endoendócrinas, em segmentos dos túbulos renais, em espermatogônias e células de Leydig dos testículos, em ova e em algumas células do corpo lúteo tanto em grávidas como em não grávidas.

O PGP9.5 é um membro da família da hidroxilase terminal-C ubiquitina e também se concentra dentro dos corpos de inclusão sugerindo que tais estruturas podem ser regiões ativas metabolicamente das células.

Produtos

Produtos

PA0286-U
7ml PGP 9.5 Bond RTU Primary
Checar Disponibilidade
PGP9.5-L-CE
1ML ANTICORPO ANTI-NCL-L-PGP9.5 (10A1)
Checar Disponibilidade
PA0286
7ML ANTICORPO ANTI-PGP9,5 (10A1)BOND RTU
Checar Disponibilidade
PGP9.5-L-U
1ml NCL-L-PGP9.5
Checar Disponibilidade

Downloads

Downloads

PA0286-U

PGP9.5-L-CE

PA0286

PGP9.5-L-U

Recently Viewed