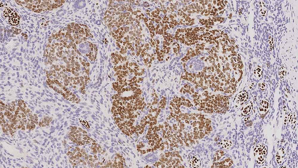
Human kidney: immunohistochemical staining for Wilms' tumor. Note the nuclear staining of invasive tumor cells. Wilms' Tumor: clone WT49

Tumor de Wilm

Informações do antígeno

A proteína do tumor de Wilm (WT1) tem um papel na regulagem transcricional e é expressa no rim e num subconjunto de células hematopoéticas. A alteração da função do fator de transcrição é um mecanismo comum na oncogênese.

A proteína WT1 contém um domínio de ligação ao DNA, e quaisquer deleções ou mutações pontuais do gene WT1 que destrua esta atividade resulta no desenvolvimento do tumor de Wilm, o nefroblastoma infantil, e síndrome de Denys-Drash.

A descrição do envolvimento da WT1 no nefroblastoma não é clara. A expressão da proteína WT1 pela imuno-histoquímica nunca é observada (ou excepcionalmente rara) no câncer de mama e a negatividade é considerada um marcador útil para distinguir metástases de carcinoma de mama de carcinomas primários de ovarianos serosos.

Isto está em desacordo com as observações relacionadas ao mRNA nestes tumores, mas esta é uma questão ainda não resolvida e complexa.

As células endoteliais são predominantemente negativas usando clone WT49. Estas células são de outra forma imunorreativas com clone 6FH2.

Produtos

Produtos

WT1-562-L-CE
ANTICORPO ANTI-WT1-562 (WT49) 1ML
Checar Disponibilidade
PA0562
ANTICORPO ANTI-WT BOND RTU (7ML)
Checar Disponibilidade
WT1-562-L-U
1ml NCL-L-WT1-562
Checar Disponibilidade
PA0562-U
7ml Wilms Tumor Bond RTU Prim
Checar Disponibilidade

Downloads

Downloads

WT1-562-L-CE

PA0562

WT1-562-L-U

PA0562-U

Recently Viewed