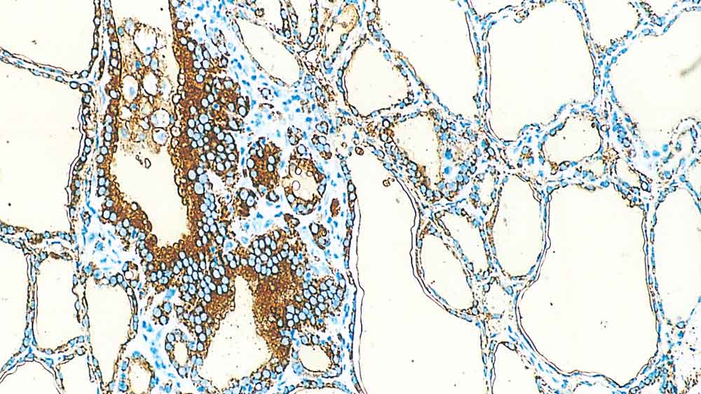
Human Thyriod: immunohistochemical staining of Thyroglobulin in the follicular epithelial cells. Thyroglobulin: clone 1D4

Tireoglobulina

Informações do antígeno

A tireoglobulina é uma proteína glicosilada fortemente de 670 kD composta de duas subunidades idênticas e é sintetizada pelas células do epitélio folicular da tireoide.

A tireoglobulina fornece locais de iodação para a formação dos hormônios da tireoide.

Produtos

Produtos

THY-L
1ml NCL-L-THY
Checar Disponibilidade

Downloads

Downloads

THY-L

Recently Viewed