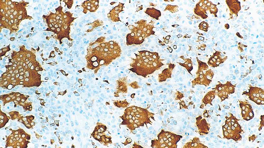
Human osteoclastoma: immunohistochemical staining for Tartrate-Resistant Acid Phosphatase. Note intense cytoplasmic staining of osteoclasts. Tartrate-Resistant Acid Phosphatase (TRAP): clone 26E5

Fosfatase ácida resistente ao tartarato (TRAP)

Informações do antígeno

A fosfatase ácida resistente ao tartarato (TRAP) é uma proteína de ligação de ferro, básica, com alta atividade para fosfoproteínas, ATP e fosfato nitrofenil-4. Esta isoenzima foi relatada através de aplicações diferentes sendo expressada em macrófagos alveolares humanos, osteoclastos, baço e fígado.

A expressão da TRAP é relatada ser aumentada no baço e monócitos de indivíduos com doença de Gaucher, doença de Hodgkin e o sérum de indivíduos que passam por remodelação óssea ativa.

Níveis elevados são também relatados como associados com várias leucemias de célula B e célula T e linfomas, células deciduais, sinciciotrofoblastos e alguns macrófagos distribuídos por todos os tecidos maternais e embrionários.

Produtos

Produtos

PA0093-U
7ml TRAP Bond RTU Primary
Checar Disponibilidade
PA0093
ANTICORPO ANTI-TRAT BOND RTU (7ML)
Checar Disponibilidade

Downloads

Downloads

PA0093-U

PA0093

Recently Viewed