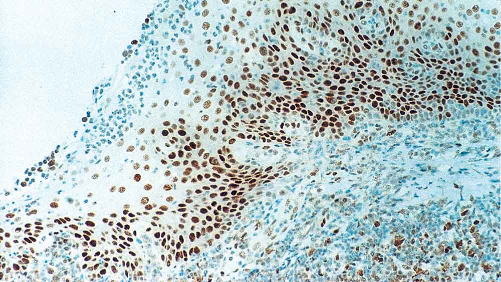
Human tonsil: immunohistochemical staining for Retinoblastoma Gene Protein. Note intense nuclear staining of epithelial cells. Retinoblastoma Gene Protein: clone 13A10

Proteína do gene retinoblastoma

Informações do antígeno

O Retinoblastoma (Rb) é um tumor raro da retina associado com mutações do cromossomo 13. A fosfoproteína nuclear codificada pelo gene supressor do tumor Rb está presente em muitas células e pode regular indiretamente o crescimento celular ativando o fator de transcrição ATF-2.

A ativação do ATF-2 inicia a expressão do TGF-β2, que por sua vez inibe a transcrição dos genes afetando o crescimento celular. A mutação bilateral do gene Rb pode potencialmente desempenhar um papel no desenvolvimento de um número de tumores malignos.

O NCL-RB-358 foi destacado na região terminal-N da proteína do gene Rb.

Produtos

Produtos

RB-358-L
ANTICORPO ANTI-RB-358 CLONE: 13A10 (1ML)
Checar Disponibilidade

Downloads

Downloads

RB-358-L

Recently Viewed