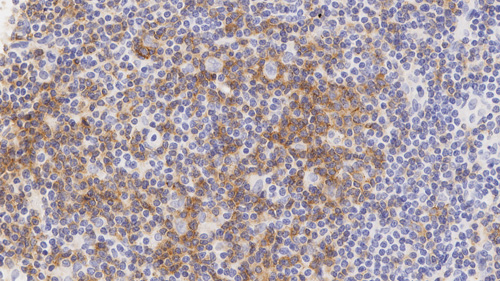
Hodgkin lymphoma: Immunohistochemistry staining of PD-1. PD-1: clone CAL20

PD-1

PD-1 (Programmed Death 1) é um recetor de superfície celular de transmembranas 55KDa Tipo I que é expresso por células T durante a ativação. Também é suprarregulado em células B, células dendríticas, células assassinas naturais e algumas células mieloides, sugerindo um papel abrangente para PD-1 na regulação imunitária. PD-1 interage com pelo menos dois ligantes: PDL1 e PD-L2. A interação PD-1/PD-L1 é importante em muitas funções das células T, incluindo inflamação aguda e crónica, cancro e imunoterapia.

Isenções de responsabilidade
A PD-1 é recomendada para a detecção de antígenos específicos de interesse em tecidos saudáveis e neoplásicos, como adjuvante da histopatologia convencional, usando colorações histoquímicas não imunológicas.

Produtos

Produtos

PA0216-U
7mL PD-1 (CAL20) BOND RTU Primary
Checar Disponibilidade
PA0216
7ML ANTICORPO ANTI-PD-1 (CAL20) BOND RTU
Checar Disponibilidade

Downloads

Downloads

PA0216-U

PA0216

Recently Viewed