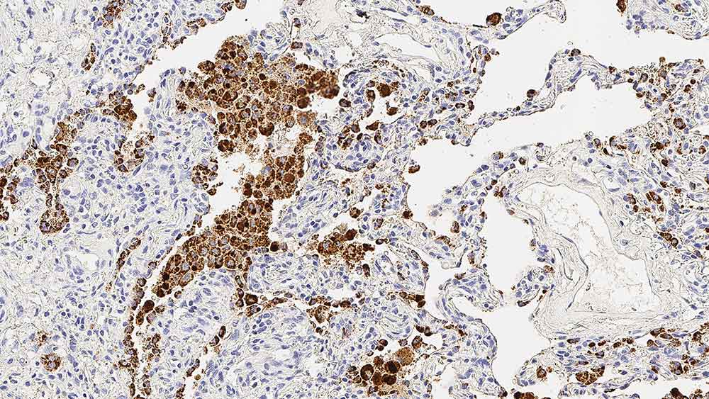
Human lung: immunohistochemical staining for Napsin A. Note cytoplasmic staining of pneumocytes and alveolar macrophages. Napsin A: clone IP64

Napsin A

Informações do antígeno

Napsin A tem uma função específica em epitélio alveolar normal e propõe-se que cumpra um papel no processamento proteolítico dos precursores surfactantes.

Relata-se que a Napsin A é predominantemente expressada em corpos lamelares de tipo II, pneumócitos, lisossomos secundários de macrófagos alveolares, epitélio respiratório de terminal e bronquíolos respiratórios, células de plasma, dentro de um sub-grupo de linfócitos em pulmão normal, também como em células epiteliais de túbulos renais em rim normal, e é fracamente expressada em baço normal.

Estudos relatam que a Napsin A é expressada em 90% de adenocarcinomas de pulmão primários.

Produtos

Produtos

NAPSINA-L-CE
ANTICORPO ANTI-NAPSINA
Checar Disponibilidade
PA0064-U
7ml Napsin A (IP64) Bond RTU Primary
Checar Disponibilidade
PA0064
7ML ANTICORPO NAPSINA A (IP64) BOND RTU 
Checar Disponibilidade
NAPSINA-L-U
1ml NCL-L-Napsin A
Checar Disponibilidade

Downloads

Downloads

NAPSINA-L-CE

PA0064-U

PA0064

NAPSINA-L-U

Recently Viewed