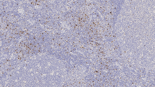
Human Tonsil: immunohistochemistry staining of LAG-3. LAG-3: clone 12H6

LAG-3

Antecedentes de antigénio
LAG-3 (Lymphocyte Activation gene 3, CD223) é uma proteína de transmembranas de aminoácido 503. Desempenha um papel na regulação negativa da proliferação celular e ativação de células T, de forma semelhante a CTLA-4 e PD-1. O LAG3 desempenha um papel no esgotamento de respostas de células T no cancro e, portanto, é objeto de extensa investigação em conjunto com outros marcadores imunomoduladores relacionados.

Isenções de responsabilidade
A LAG-3 é recomendada para a detecção de antígenos específicos de interesse em tecidos saudáveis e neoplásicos, como adjuvante da histopatologia convencional, usando colorações histoquímicas não imunológicas.

Produtos

Produtos

PA0300-U
7mL LAG-3 (12H6) BOND RTU Primary
Checar Disponibilidade
PA0300
7mL LAG-3 (12H6) BOND RTU Primary
Checar Disponibilidade

Downloads

Downloads

PA0300-U

PA0300

Recently Viewed