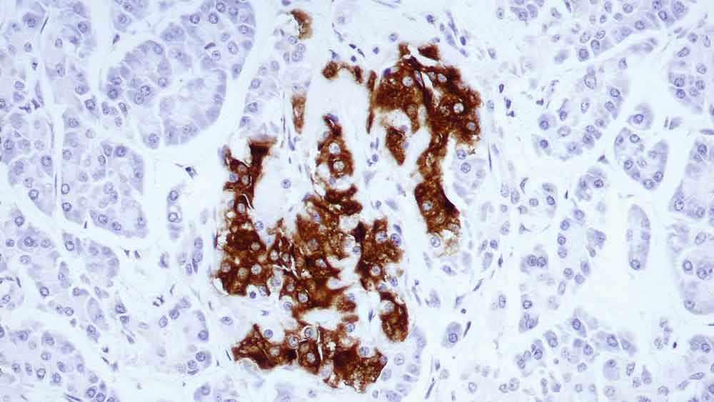
Human pancreas: immunohistochemical staining for insulin-containing cells. Note intense cytoplasmic staining. Insulin: clone 2D11-H5

Insulina

Informações do antígeno

A insulina é um hormônio secretado pelas células beta das ilhotas de Langerhans no pâncreas. Ela promove o armazenamento de glicogênio, formação de triglicerídeos, e síntese de proteína e ácidos nucleicos.

Relatos de investigação imuno-citoquímica revelam a presença de insulina no citoplasma de certos tumores de ilhotas.

Entretanto, em algumas instâncias, grânulos positivos para insulina são esparsos e formam uma margem contra a membrana da célula.

Produtos

Produtos

PA0620-U
7ml Insulin Bond RTU Primary
Checar Disponibilidade
PA0620
ANTICORPO ANTI-INSULINA BOND RTU (7ML)
Checar Disponibilidade

Downloads

Downloads

PA0620-U

PA0620

Recently Viewed