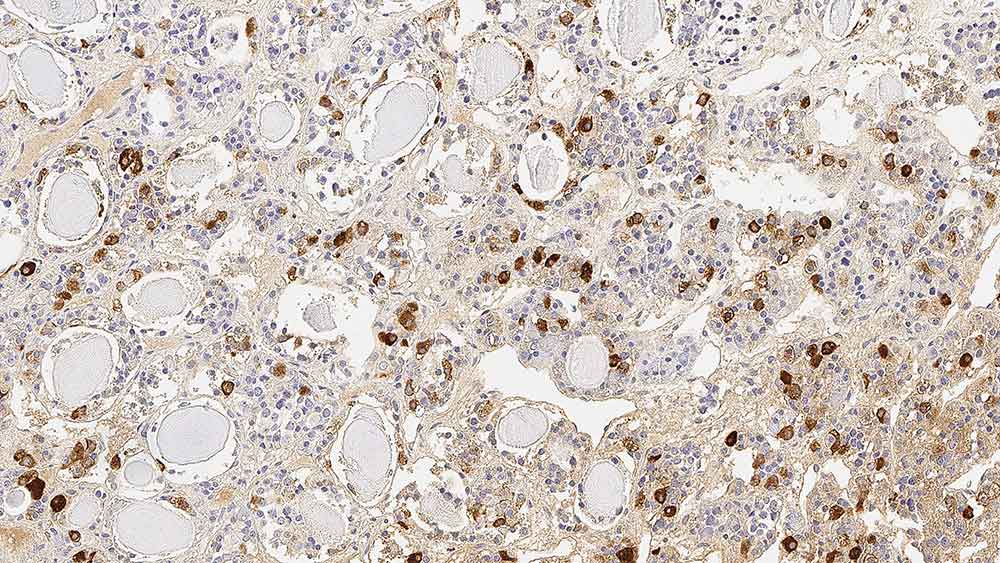
Human pituitary: immunohistochemical staining for HFSH. Note cytoplasmic staining of gonadotrophic cells. Human Follicle Stimulating Hormone (beta 2): clone INN-hFSH-60

HFSH (beta 2) (hormônio estimulante folicular humano)

Informações do antígeno

O hormônio estimulante folicular (FSH) é um hormônio da hipófise de 35 kD que está envolvido na maturação de folículos ovarianos e secreção de estrógeno em mulheres.

Em homens, o FSH estimula a secreção de testosterona.

Produtos

Produtos

PA0693-U
7ml HFSH Bond RTU Primary
Checar Disponibilidade
PA0693
ANTICORPO ANTI-HFSH BOND RTU (7ML)
Checar Disponibilidade

Downloads

Downloads

PA0693-U

PA0693

Recently Viewed