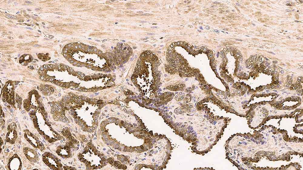
Prostate carcinoma: immunohistochemical staining of Galectin-3. Note the staining in the neoplastic cells and some staining in the stroma. Galectin-3: clone 9C4

Galectina-3

Informações do antígeno

A galectina-3 é um membro da família das lectinas de ligação beta-galactosidase. Ela está envolvida em vários eventos biológicos, incluindo a união da laminina de glicoproteína da membrana basal.

A galectina-3 da superfície da célula pode estar envolvida na adesão da célula homotípica e é infra-regulada no câncer de cólon à medida que a doença progride. Esta infra-regulação também foi examinada em carcinomas de mama com uma correlação similar de expressão relatada.

A infra-regulação da galectina-3 poderia ser um dos muitos eventos que permitem que as células cancerígenas interajam com a laminina para facilitar a invasão e a metástase, e podem indicar a ativação do fenótipo invasivo em vários tipos de tumores.

Foi relatada a detecção da galectina-3 em linfomas de células grandes anaplásticas, enquanto a galectina-3 não é detectada em células de Reed Sternberg ou em variantes da doença de Hodgkins.

Produtos

Produtos

PA0238-U
7ml Galectin-3 Bond RTU Primary
Checar Disponibilidade
PA0238
7ML ANTICORPO ANTI-GALECTINA 3 BOND RTU
Checar Disponibilidade

Downloads

Downloads

PA0238-U

PA0238

Recently Viewed