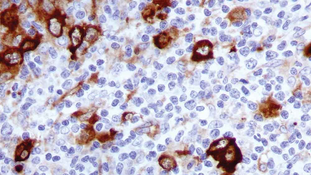
Hodgkin's lymphoma: immunohistochemical staining with Fascin: clone IM20

Fascina

Informações do antígeno

A fascina humana é uma proteína aglutinante de actina com massa molecular de 55 a 58 kD, cuja habilidade de aglutinação de actina é regulada pela fosforilação. Em tecidos normais, relata-se a detecção de fascina predominantemente restrita a células dendríticas e, no timo, observou-se apenas em células dendríticas medulares.

Em nódulos reativos, as células do retículo de interdigitação das zonas de células T, células nas áreas subcapsulares e células da rede reticular expressam a fascina. Expressão variável é vista em células dendríticas foliculares e células endoteliais. As células linfoides, células mieloides e células plasmáticas não expressam a fascina.

Entretanto, no caso da doença de Hodgkins, incluindo a esclerose nodular, celularidade mista, depleção de linfócitos e casos não classificados, a maioria ou todas as células de Reed Sternber são reportadas positivas para fascina. A expressão de fascina pode ser induzida pela infecção pelo vírus de Epstein-Barr (EBV) ou células B, com a possibilidade de que a indução viral da fascina em linfoides ou outros tipos celulares também possa ser considerada em casos de EBV positivo.

Produtos

Produtos

PA0420-U
7ml Fascin Bond RTU Primary
Checar Disponibilidade
FASCIN-L
1ml NCL-L-FASCIN
Checar Disponibilidade
PA0420
ANTICORPO ANTI-FASCINA BOND RTU (7ML)
Checar Disponibilidade

Downloads

Downloads

PA0420-U

FASCIN-L

PA0420

Recently Viewed