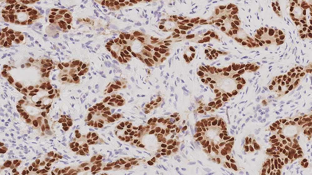
Human colonic adenocarcinoma: immunohistochemical staining for CDX2. Note the nuclear and cytoplasmic staining of malignant cells. CDX2: clone EP25

CDX2

Informações do antígeno

O CDX2 é um fator de transcrição específico do intestino, com homeobox do tipo caudal, que se expressa no início do desenvolvimento intestinal e pode estar envolvido na regulação da proliferação e diferenciação de células do epitélio intestinal.

O CDX2, assim como o CDX1, é de interesse particular, visto que o intestino é o único órgão que contém níveis detectáveis de ambos os produtos genéticos. O CDX2 se expressa principalmente na superfície da vilosidade e nas criptas.

Ao contrário do CDX1, expressão intensa do CDX2 ocorre em todas as porções do intestino em desenvolvimento, exceto na distal. Sabe-se que a perda de CDX2 contribui com a progressão de alguns cânceres colorretais esporádicos e que o CDX2 pode também estar associado com carcinogêneses do estômago, visto que a expressão do mRNA do CDX2 diminui progressivamente com a transição das linhas celulares de câncer gástrico bem diferenciadas e pouco diferenciadas.

Produtos

Produtos

PA0375
7ml Anticorpo CDX2 (EP25) Bond RTU
Checar Disponibilidade
PA0375-U
7ml CDX2 (EP25) Bond RTU Primary
Checar Disponibilidade

Downloads

Downloads

PA0375

PA0375-U

Recently Viewed