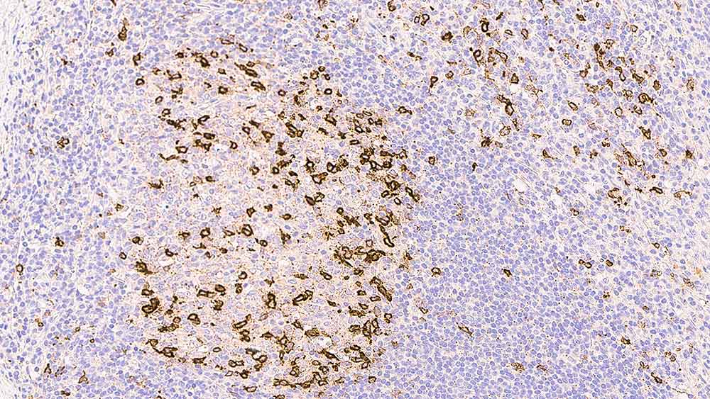
Human tonsil: immunohistochemical staining of T lymphocytes. CD57: clone NK-1

CD57

Informações do antígeno

A glicoproteína CD57, também conhecida como HNK-1, possui massa molecular de 110 kD.

Ela é encontrada em um subconjunto de células mononucleares com atividade exterminadora natural e em células neuroectodermais que expressam glicoproteína associada a mielina. Muitas células que co-expressam as proteínas CD57 e CD8 são um subconjunto de células T supressoras/citotóxicas. Estas células têm uma função na rejeição de enxertos na doença do enxerto contra o hospedeiro aguda. A molécula CD57 não é expressada em eritrócitos ou em plaquetas.

O pré-tratamento enzimático pode melhorar a coloração em alguns casos.

Produtos

Produtos

PA0443-U
7ml CD57 Bond RTU Prim
Checar Disponibilidade
PA0443
ANTICORPO ANTI-CD57 BOND RTU (7ML)
Checar Disponibilidade

Downloads

Downloads

PA0443-U

PA0443

Recently Viewed