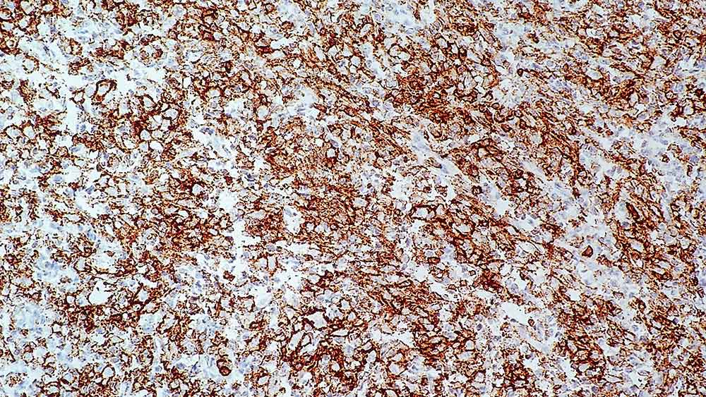
Diffuse large B cell lymphoma: immunohistochemical staining for CD43. Note the intense staining of malignant CD43: clone MT1

CD43

Informações do antígeno

O antígeno CD43 é expresso na membrana e no citoplasma das células T e células da linhagem mieloide. A própria molécula apresenta heterogeneidade de peso molecular com bandas de 90 a 140 kD observadas em SDS-PAGE entre diferentes linhas celulares. Células que expressam o antígeno CD43 são relatadas a incluírem células T normais e neoplásicas. Uma proporção pequena de leucemias crônicas de células B e linfomas centrocíticos também são relatados expressar antígeno CD43.

Pré-tratamento enzimático pode potenciar a coloração em alguns casos com clone MT1.

Produtos

Produtos

PA0938-U
7ml CD43 Bond RTU Primary
Checar Disponibilidade
MT1-L
1ml NCL-L-MT1
Checar Disponibilidade
MT1-L-U
1ml NCL-L-MT1 US IVD
Checar Disponibilidade
PA0938
ANTICORPO ANTI-CD43 BOND RTU (7ML)
Checar Disponibilidade

Downloads

Downloads

PA0938-U

MT1-L

MT1-L-U

PA0938

Recently Viewed