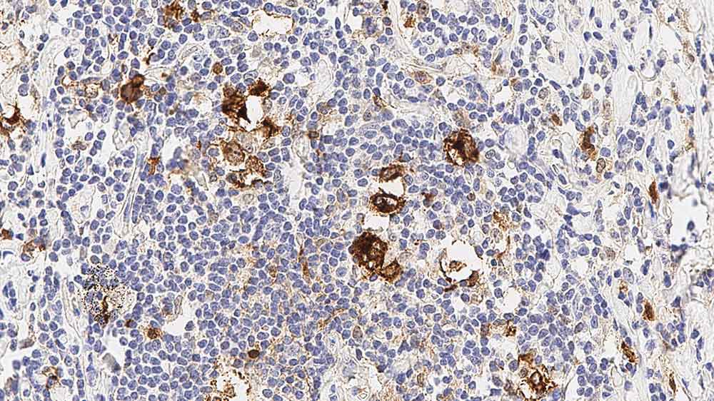
Human lymph node, nodular sclerosing Hodgkin's disease: immunohistochemical staining for CD30. Note membrane and cytoplasmic staining of the neoplastic cells, CD30: clone JCM182

CD30

Informações do antígeno

O antígeno CD30 é uma glicoproteína de cadeia única com um peso molecular de 120 kD. O antígeno CD30, também é conhecido por agir como receptor para um ligante de citocina, CD30L, e também pode desempenhar um papel na regulação do crescimento e transformação celular.

O antígeno CD30 também foi relatado como expresso na superfície de células de Reed Sternberg multinucleadas, células de Hodgkin mononucleares e na maioria do linfomas anaplásicos de células grandes.

O antígeno CD30 é expresso em linfoma não-Hodgkin e em células transformadas viralmente, por exemplo, células B transformadas por EBV.

A maioria dos linfomas de células T não expressam antígeno CD30, com exceção de alguns linfomas de células T polimórficos.

Usando outras soluções de recuperação que aquelas recomendadas para o clone JCM182 na folha de dados, pode aumentar a reatividade fundo.

Produtos

Produtos

CD30-591-L
1ml NCL-L-CD30-591
Checar Disponibilidade
CD30-591-L-CE
ANTICORPO ANTI-CD30 (1ML)
Checar Disponibilidade
PA0790
7ml ANTICORPO CD30 (JCM182) Bond RTU
Checar Disponibilidade
CD30-591-L-U
1ml NCL-L-CD30-591
Checar Disponibilidade
PA0790-U
7ml CD30 (JCM182) Bond RTU Primary
Checar Disponibilidade

Downloads

Downloads

CD30-591-L

CD30-591-L-CE

PA0790

CD30-591-L-U

PA0790-U

Recently Viewed