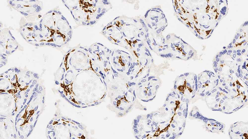
Human placenta: immunohistochemical staining for CD163. Note cytoplasmic staining of Hofbauer cells. CD163: clone 10D6

CD163

Informações do antígeno

A molécula CD163 é uma proteína de membrana tipo I também conhecida como antígeno M130, Ber-Mac3, Ki-M8 ou SM4. A proteína CD163 é restrita na expressão a linhagem monocítica macrófaga.

Foi relatado como presente em todos os monócitos circulantes e na maioria dos macrófagos de tecido, exceto aqueles encontrados na zona do manto e centros germinais dos folículos linfoides, células de retículo interdigitantes e células Langerhans. Além disso, células multinucleadas dentro de lesões inflamatórias são relatadas não expressar a proteína CD163.

A proteína é super-regulada por glucocorticoides e infra-regulada pela ciclosporina A imunossupressor e por ésteres de forbol, enquanto o lipossacarídeo, um mediador inflamatório, não tem influência na expressão.

Tem-se proposto que o mecanismo de liberação específico do antígeno CD163 pelos monócitos humanos podem desempenhar um papel importante nos processos de modulação inflamatório.

Produtos

Produtos

CD163-L-CE
ANTICORPO ANTI-CD163 (1ML)
Checar Disponibilidade
CD163-L
1ml NCL-L-CD163
Checar Disponibilidade
PA0090
7ml Anticorpo CD163 Bond RTU (10D6)
Checar Disponibilidade
CD163-L-U
1ml NCL-L-CD163
Checar Disponibilidade
PA0090-U
7ml CD163 Bond RTU Primary
Checar Disponibilidade

Downloads

Downloads

CD163-L-CE

CD163-L

PA0090

CD163-L-U

PA0090-U

Recently Viewed