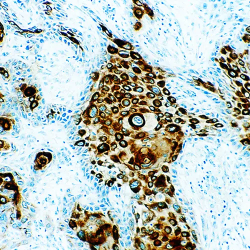
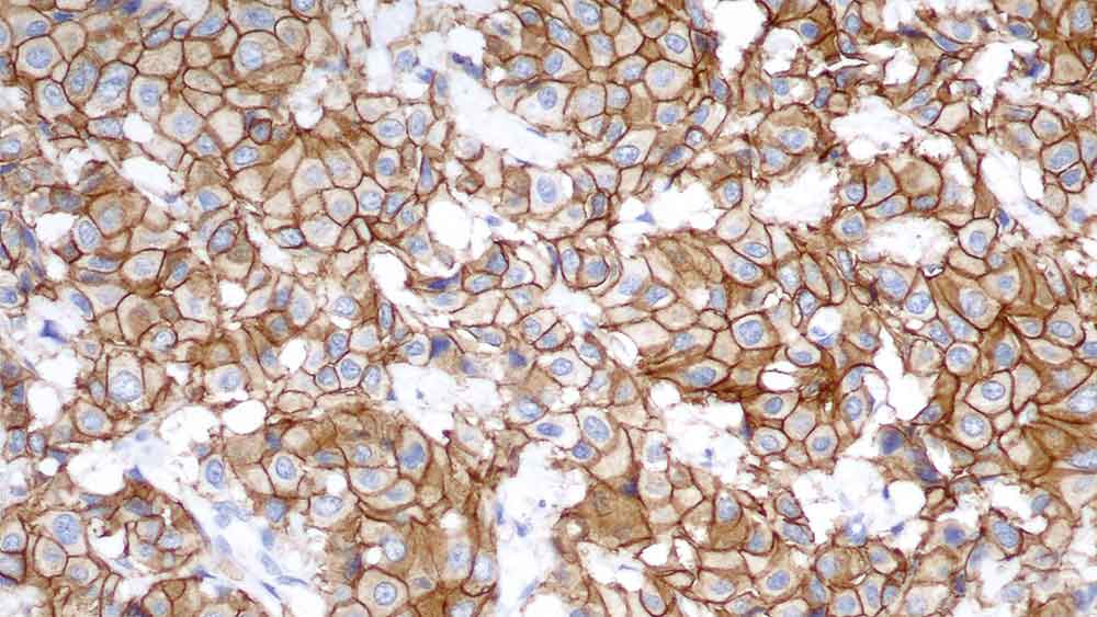
Human breast: invasive ductal carcinoma: immunohistochemical staining for c-erbB-2 Oncoprotein (HER-2): clone CB11

c-erbB-2 Oncoprotein (HER-2)

Antigen Background: 

The c-erbB-2 oncoprotein is closely related in structure to the epidermal growth factor receptor and is a member of a large family of cell surface growth factor receptors. c-erbB-2 oncoprotein is reported to be detectable in a proportion of breast and other adenocarcinomas as well as transitional cell carcinomas. c-erbB-2 oncoprotein is present in a wide variety of cell types in a range of normal human fetal and adult tissues, including breast, stomach and ovary. CB11 detects the internal domain of the c-erbB-2 oncoprotein. CBE-356 detects the external domain of the c-erbB-2 oncoprotein.

Product Specific Information: 

CB11 is effective with no pretreatment on fixed, paraffin-embedded tissue but the use of the heat induced epitope retrieval (HIER) technique may enhance staining in some cases.
Intended Use
This reagent is for in vitro diagnostic use. The c-erbB-2 Oncoprotein (CB11) monoclonal antibody is intended to be used for the qualitative identification by light microscopy of c-erbB-2 oncoprotein in formalin-fixed, paraffin-embedded tissue by immunohistochemical staining.

Disclaimer: 

c-erbB-2 Oncoprotein (HER-2) Antibodies are recommended for the detection of specific antigens of interest in normal and neoplastic tissues, as an adjunct to conventional histopathology using non-immunologic histochemical stains.

Produtos

Produtos

CB11-L-CE
ANTICORPO ANTI-ERBB2 (1ML)
Checar Disponibilidade
CBE-356-L-CE
ANTICORPO ANTI-CBE (1ML)
Checar Disponibilidade
PA0571
13,5ML C-ERBB-2 ONCOPROTEINA BOND RTU
Checar Disponibilidade
PA0983
7ML ANTI-C-ERBB-2 ONCOPROTEINA BOND RTU
Checar Disponibilidade
PA0571-U
13.5 mL c-erbB-2 Oncoprotein BOND RTU
Checar Disponibilidade
PA0983-U
7ML ANTI-C-ERBB-2 ONCOPROTEINA BOND RTU
Checar Disponibilidade

Downloads

Downloads

CB11-L-CE

CBE-356-L-CE

PA0571

PA0983

PA0571-U

PA0983-U

Recently Viewed