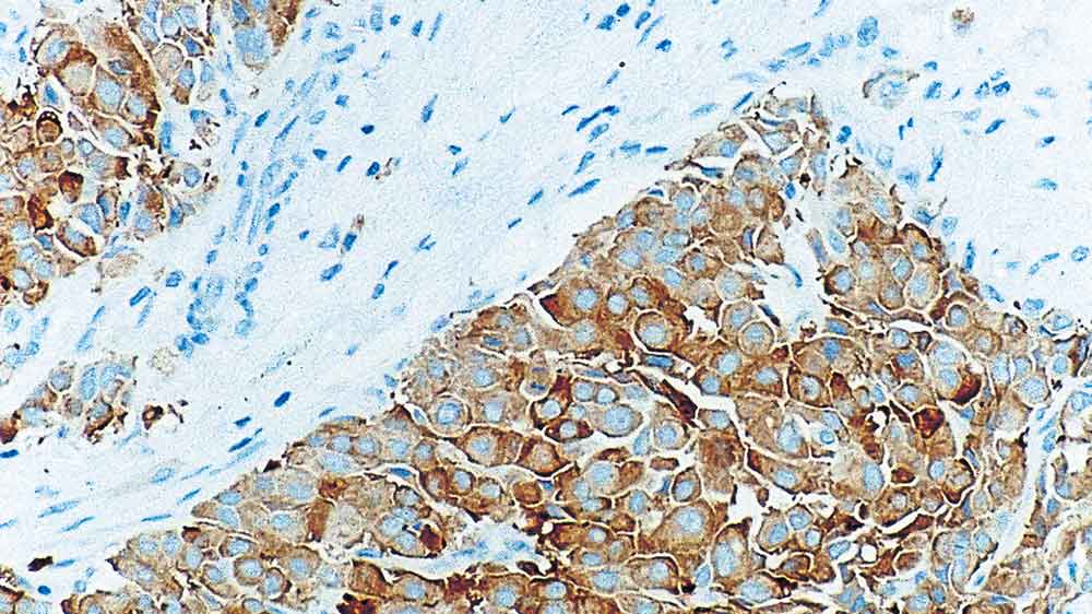
Breast carcinoma showing neuroendocrine differentiation: immunohistochemical staining for Synaptophysin. Note cytoplasmic staining of tumor cells. Synaptophysin: clone 27G12

Sinaptofisina

Informações do antígeno

A sinaptofisina é uma glicoproteína da membrana integral com um peso molecular de 38 kD. Ela é relatada a ocorrer nas vesículas pré-sinápticas dos neurônios no cérebro, medula espinhal, retina, em vesículas similares da medula adrenal bem como em junções neuromusculares.

A sinaptofisina pode estar envolvida na formação da vesícula sináptica e exocitose. A sinaptofisina é relatada ser expressa em um largo espectro de tumores neuroendócrinos incluindo neuroblastomas, ganglioneuroblastomas, feocromocitomas, paragangliomas cromafins e não cromafins.

A sinaptofisina é também relatada ser expressa em tumores neuroendócrinos do tipo epitelial incluindo adenomas pituitários, tumores das células ilhotas, carcinomas medulares da tireoide, adenomas da paratireoide, carcinoides broncopulmonares e tratos gastrointestinais, carcinomas neuroendócrinos broncopulmonares e trato gastrointestinal e carcinomas neuroendócrinos da pele.

Produtos

Produtos

SYNAP-299-L-CE
ANTICORPO ANTI- NCL-L-SYNAP-299 CLONE 27
PA0299
7ML ANTICORPO SINAPTOFISINA BOND RTU

Downloads

Downloads

SYNAP-299-L-CE

PA0299

Recently Viewed