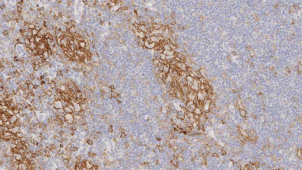
Human lymph node, anaplastic lymphoma: immunohistochemical staining for CD33. Note membrane staining of neoplastic cells. CD33: clone PWS44

CD33

Informações do antígeno

O antígeno CD33 foi relatado como aparecendo em células precursoras mielomonocíticas após a expressão do antígeno CD34.

Em seguida, continua a ser expresso em ambas as linhagens mieloide e de monócitos, embora seja relatado ser ausente nos granulócitos.

Tem sido relatado que a expressão de CD33 é restrita aos monócitos, premielócitos, blastos mieloides, algumas leucemias agudas indiferenciadas e leucemias linfoblástica aguda.

A expressão do antígeno CD33 tem demonstrado ser um importante marcador para distinguir leucemia linfoide das mieloides.

Produtos

Produtos

CD33-L-CE
ANTICORPO ANTI-CD33
PA0555
ANTICORPO ANTI-CD33 BOND RTU (7ML)

Downloads

Downloads

CD33-L-CE

PA0555

Recently Viewed