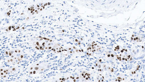
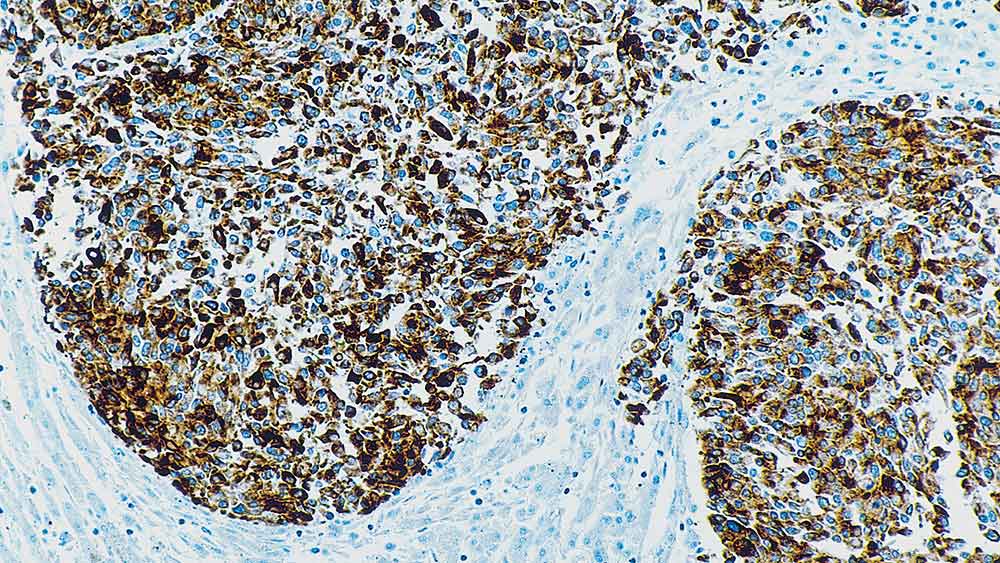
Human prostate: immunohistochemical staining for Prostate Specific Membrane Antigen (PSMA): clone 1D6 

Antígeno da membrana específica da próstata

Informações do antígeno

O antígeno da membrana específica da próstata (PSMA) é expresso como uma glicoproteína de 750 aminoácidos mas pode também ser encontrado como PSM', uma forma da proteína faltando os primeiros 57 aminoácidos.

O PSMA tem duas atividades enzimáticas, uma como hidrolase folato de membrana integrada específica da próstata e a outra como uma carboxipeptidase.

Relatos sugerem que a expressão do PSMA pode correlacionar com a carga tumoral e servir como um indicador de envolvimento metastático.

A localização celular do PSMA contrasta com o do antígeno específico da próstata (PSA) e da fosfatase ácida prostática (PAP) que são proteínas secretoras.

Produtos

Produtos

PSMA-L
1ml NCL-L-PSMA

Downloads

Downloads

PSMA-L

Recently Viewed