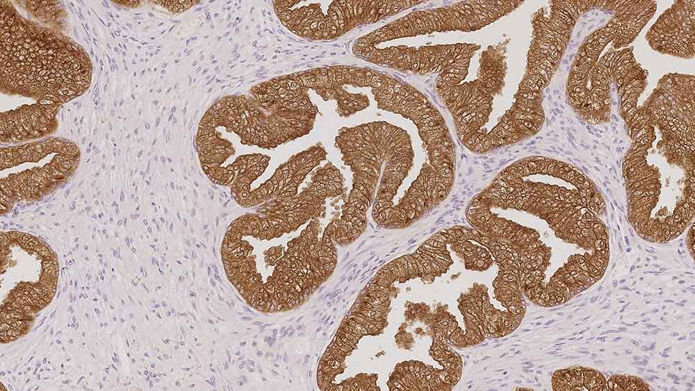
Human prostatic hyperplasia: immunohistochemical staining of Prostate Specific Antigen. Note the cytoplasmic and membrane staining of hyperplastic glandular epithelial cells. Prostate Specific Antigen: clone 35H9 

Antígeno específico da próstata

Informações do antígeno

Antígeno específico da próstata (PSA) é uma proteína de 34 kD pertencente a família calicreína de proteases de serina e foi isolada originalmente e purificada a partir do plasma seminal humano. Verificou-se ser imunologicamente idêntica e biologicamente similar a uma proteína isolada da glândula da próstata. O PSA é distinto da fosfatase ácida prostática.

Níveis baixos de expressão de PSA foram relatados em tecidos não prostáticos e tumores tais como carcinomas de mama.

Produtos

Produtos

PSA-431-L-CE
1ML ANTICORPO ANTI-PSA-431 (35H9)
PA0431
7ml Anticorpo PSA (35H9) Bond RTU

Downloads

Downloads

PSA-431-L-CE

PA0431

Recently Viewed