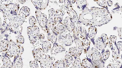
Human placenta: immunohistochemical staining for p57 protein. Note nuclear staining for cytotrophoblast and stromal cells of the villi. p57: clone 25B2

Kip2 (proteína p57)

Informações do antígeno

Quinases dependentes de ciclina são reguladores positivos de proliferação celular. A proteína p57 age como um supressor de tumor para combater isto. Ela tem parentesco próximo com outras CDKIs tais como, proteína p21 (CIP1) e proteína p27 (Kip1), pois elas compartilham um domínio com terminal N estrutural em comum para unir-se a complexos de CDK/ciclina e inibir suas atividades de quinase.

A proteína p57 humana é encontrada no cromossomo 11p15.5, uma região na qual relata-se ser um local comum para perda de heterozigosidade em certos sarcomas, tumores de Wilms e tumores associados com a síndrome de Beckwith-Wiedemann.

Há um crescente aumento na p57, como um sinalizador de doença gestacional. A doença trofoblástica gestacional refere-se a um espectro de desordens proliferativas do trofoblasto placental, com uma ampla variedade de aparições histológicas e comportamentos clínicos.

Produtos

Produtos

P57-L-CE
ANTICORPO ANTI-P57 CLONE: 25B2 (1ML)

Downloads

Downloads

P57-L-CE

Recently Viewed