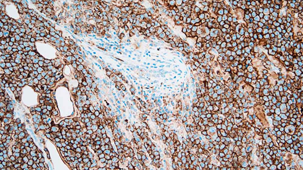
Plasmacytoma: immunohistochemical staining for CD138. Note the intense membrane staining of tumor cells. CD138: clone MI15

CD138 (Sindecam 1)

Informações do antígeno

A molécula CD138 é uma glicoproteína de sulfato de heparina transmembranária expressada em estágios distintos de diferenciação em células linfáticas normais tais como células pré-B, células B imaturas e células de plasma produtoras de lg assim como sendo expressa no epitélio estratificado e simples. A perda de expressão CD138 a partir de células atípicas é relatada ser um evento prematuro durante a carcinogênese cervical enquanto a expressão do antígeno CD138 mostra uma associação próxima com a morfologia e diferenciação epitelial preservada, entretanto, a principal utilidade da CD138 como um marcador na imuno-histoquímica é a quantificação das células do plasma.

Produtos

Produtos

PA0088
7ML ANTICORPO ANTI-CD138 (MI15) BOND RTU

Downloads

Downloads

PA0088

Recently Viewed