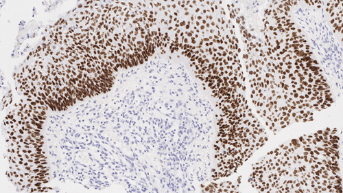
Squamous cell carcinoma of lung: Immunohistochemistry staining of p40. p40: clone BC28
Squamous cell carcinoma of lung: Immunohistochemistry staining of p40. p40: clone BC28
p40
Antecedentes de antigénio p40 (Delta Np63) é um produto truncado do p63. É normalmente expresso na camada celular basal ou progenitora de células basais, do epitélio estratificado da próstata, bem como células mioepiteliais da mama e glândulas salivares, e citotrofoblastos na placenta, e apresenta um padrão de coloração nuclear com IHC. Entre os inúmeros neoplasmas com resultados positivos para p40, carcinomas de células escamosas de origem pulmonar e não pulmonar podem ser identificados a partir de outras malignidades.
Isenções de responsabilidade A p40 é recomendada para a detecção de antígenos específicos de interesse em tecidos saudáveis e neoplásicos, como adjuvante da histopatologia convencional, usando colorações histoquímicas não imunológicas.
Produtos
Produtos
PA0163
7ML ANTICORPO ANTI-p40 (BC28) BOND RTU
Product is out of stock
Due to manufacturing & supply chain issues, this product is currently unavailable. You may place your order and it will be fulfilled when the product is back in stock. For more help, please reach out to customer service at +1 844 534 2262 or nonurgentcs@leicabiosystems.com
Product is limited in stock
Product availability is limited, but products are in continuous production. Your order will be processed as normal and may take additional days to ship.