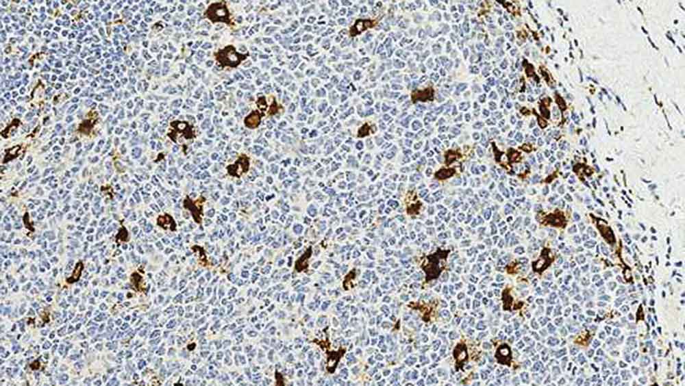
Human tonsil: immunohistochemical staining for CD68. Note the germinal centre macrophages show a strong cytoplasmic staining reaction, while the interfollicular macrophages show correct weak to moderate staining reaction. CD68: clone 514H12

CD68

Informações do antígeno

A molécula CD68 é uma glicoproteína intracelular de 110 kD, relatada primariamente ser associada com grânulos citoplasmáticos e, em uma medida menor, às membranas de macrófagos.

Marcadores para o antígeno CD68 são usados mais frequentemente para a identificação de macrófagos em imuno-histoquímica. No entanto, CD68 é também encontrada em monócitos, neutrófilos, basófilos e linfócitos grandes.

A função da molécula CD68 não é certa, mas estas proteínas de membrana lisossomal são os principais componentes e podem proteger as membranas de um ataque por hidrolases ácidas. Não é claro se a proteína CD68 associada à superfície é funcionalmente significativa ou se deve a fugas dos lisossomos.

A expressão da proteína CD68 tem sido demonstrada em células T estimuladas e células NK, e tecidos não-hematopoiéticos, como o fígado e túbulos renais.

Produtos

Produtos

CD68-L-CE
ANTICORPO ANTI-CD68 (1ML)
PA0273
ANTICORPO ANTI-CD68 BOND RTU (7ML)

Downloads

Downloads

CD68-L-CE

PA0273

Recently Viewed