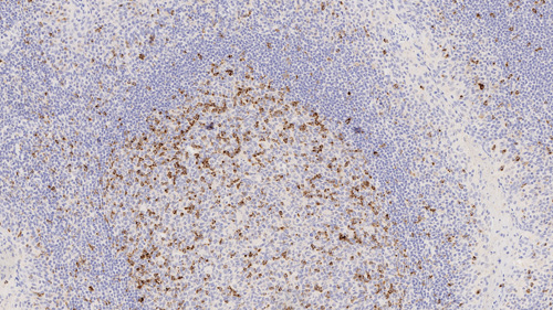
Human Tonsil: immunohistochemistry staining of CTLA-4. CTLA-4: clone CAL49
Human Tonsil: immunohistochemistry staining of CTLA-4. CTLA-4: clone CAL49
CTLA-4
Antecedentes de antigénio CTLA-4, antigénio 4 de células T citotóxico correcetor de células T (CTLA-4, CD152) é um regulador inibidor crítico da imunidade de células T. CTLA-4 é expresso quase exclusivamente em células T CD4+ e CD8+ e é crucial na manutenção da homeostasia de células T. A expressão é induzida em células T ativadas, com expressão marginal em células em repouso. O papel do CTLA-4 na regulação da atividade das células T no microambiente do tumor indica um papel potencial no controlo do desenvolvimento do tumor.
Isenções de responsabilidade A CTLA-4 é recomendada para a detecção de antígenos específicos de interesse em tecidos saudáveis e neoplásicos, como adjuvante da histopatologia convencional, usando colorações histoquímicas não imunológicas.
Produtos
Produtos
PA0181
7ML ANTICORPO CTLA-4 (CAL49) BOND RTU
Product is out of stock
Due to manufacturing & supply chain issues, this product is currently unavailable. You may place your order and it will be fulfilled when the product is back in stock. For more help, please reach out to customer service at +1 844 534 2262 or nonurgentcs@leicabiosystems.com
Product is limited in stock
Product availability is limited, but products are in continuous production. Your order will be processed as normal and may take additional days to ship.