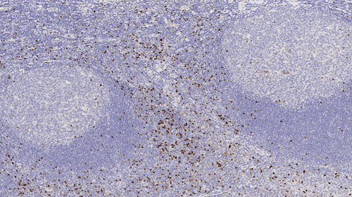
Human Tonsil: Immunohistochemistry staining of FOXP3. FOXP3: clone 236A/E7
Human Tonsil: Immunohistochemistry staining of FOXP3. FOXP3: clone 236A/E7
FOXP3
Antecedentes de antigénio FOXP3 (Forkhead Box Protein 3, Scurfin) é um membro da família de caixa forkhead (FOX) de fatores de transcrição. Estas proteínas são caracterizadas por um domínio de ligação do ADN de forkhead altamente conservado. A FOXP3 tem um papel importante na regulação imunitária, com o seu efeito na redução da expressão de Interleucina-2, causando uma função reduzida das células T auxiliares. O papel da FOXP3 no cancro é multifacetado, com papéis tanto no desenvolvimento do tumor (através da supressão da atividade das células T) como na supressão do oncogene.
Isenções de responsabilidade A FOXP3 é recomendada para a detecção de antígenos específicos de interesse em tecidos saudáveis e neoplásicos, como adjuvante da histopatologia convencional, usando colorações histoquímicas não imunológicas.
Produtos
Produtos
PA0263
7ML ANTICORPO FOXP3 (236A/E7) BOND RTU
Product is out of stock
Due to manufacturing & supply chain issues, this product is currently unavailable. You may place your order and it will be fulfilled when the product is back in stock. For more help, please reach out to customer service at +1 844 534 2262 or nonurgentcs@leicabiosystems.com
Product is limited in stock
Product availability is limited, but products are in continuous production. Your order will be processed as normal and may take additional days to ship.