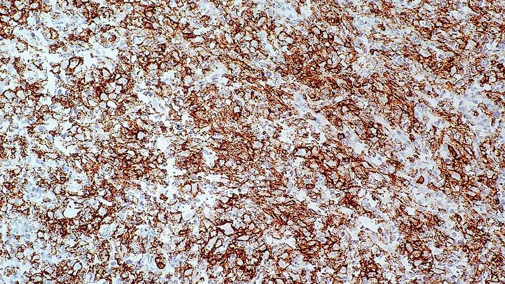
Diffuse large B cell lymphoma: immunohistochemical staining for CD43. Note the intense staining of malignant CD43: clone MT1

CD43

Informações do antígeno

O antígeno CD43 é expresso na membrana e no citoplasma das células T e células da linhagem mieloide. A própria molécula apresenta heterogeneidade de peso molecular com bandas de 90 a 140 kD observadas em SDS-PAGE entre diferentes linhas celulares. Células que expressam o antígeno CD43 são relatadas a incluírem células T normais e neoplásicas. Uma proporção pequena de leucemias crônicas de células B e linfomas centrocíticos também são relatados expressar antígeno CD43.

Pré-tratamento enzimático pode potenciar a coloração em alguns casos com clone MT1.

Produtos

Produtos

MT1-L
1ml NCL-L-MT1
PA0938
ANTICORPO ANTI-CD43 BOND RTU (7ML)

Downloads

Downloads

MT1-L

PA0938

Recently Viewed