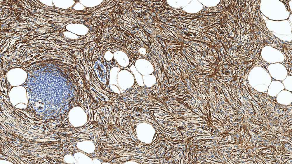
Dermatofibrosarcoma protuberans: immunohistochemical staining for CD34. Note the staining of neoplastic spindle cells. CD34: clone QBEnd/10

CD34

Informações do antígeno

A molécula CD34 é uma glicoproteína de transmembrana de cadeia única com um peso molecular de 110 kD.

A proteína CD34 é expressa seletivamente nas células progenitoras hemopoiéticas mieloides e linfoides.

O antígeno CD34 também é expresso no endotélio vascular.

Informação específica do produto

Se recomenda a digestão enzimática das secções de parafina com o clone QBEnd/10 de preferência para recuperação termoinduzida do epítopo, uma vez que produz coloração mais forte e reduz a coloração de fundo da elastina.

Produtos

Produtos

END-L-CE
ANTICORPO ANTI-CD34
PA0354
ANTICORPO ANTI-CD34 BOND RTU (30ML)
PA0212
ANTICORPO ANTI-CD34 BOND RTU (7ML)

Downloads

Downloads

END-L-CE

PA0354

PA0212

Recently Viewed